试题详情
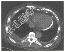
- [材料题] 患者,男,48岁。感呼吸困难、腹胀、乏力、头晕、咳嗽。查体心尖搏动不易触及,心音减低。下肢水肿。行胸部CT扫描如下图:

- 简答题1、图中钙化应考虑为?本病应诊断为?
关注下方微信公众号,搜题查看答案

- 简答题2、缩窄性心包炎的主要病因是什么?
关注下方微信公众号,搜题查看答案

- 简答题3、缩窄性心包炎的典型临床表现有哪些?
关注下方微信公众号,搜题查看答案

- 简答题4、缩窄性心包炎治疗措施有哪些?
关注下方微信公众号,搜题查看答案

热门试题
- 1、该病例首先诊断为:2、黄色肉芽肿性肾
- 1、该病例可能的诊断是什么?2、CT检查
- 1、影像诊断思路是什么?2、诊断要点与鉴
- 1、请问最可能的诊断是?2、为进一步确诊
- 1、请问你认为该患者进一步的诊治方案是什
- 1、请问该病例诊断是什么?2、请问诊断依
- 1、请问该病例最可能的诊断是什么?2、为
- 1、请问本患者的常规检查应包括哪些?2、
- 1、请问患者诊断是什么?2、请问诊断依据
- 1、请问该病例诊断是什么?2、请问诊断依
- 1、请问特发性肺间质纤维化临床特点是什么
- 1、请问该病例影像学首先应做哪些检查?2
- 1、请问该患者诊断是什么?2、请问鉴别诊
- 1、请问该案例诊断是什么?2、请问诊断依
- 1、首先要考虑的疾病是?2、子宫肌瘤的病
- 1、本病例最可能的诊断是?2、食管癌的影
- 1、结直肠癌临床特点是什么?2、如何有效
- 1、该患者的影像诊断是什么?2、胆脂瘤临
- 1、CT检查如下图,请问拟诊断为什么?
- 1、该患者的诊断是什么?2、胆囊癌的高危