试题详情
- [材料题] 患者,男,65岁。全程无痛性血尿半年,不伴尿急、尿痛;半年反复肉眼血尿,尿常规示:红细胞4~5/HP,白细胞0~2/HP,蛋白(+),查体:双肾区叩击痛阴性,尿道未见异常。
- 简答题1、该病例可能的诊断是什么?
关注下方微信公众号,搜题查看答案

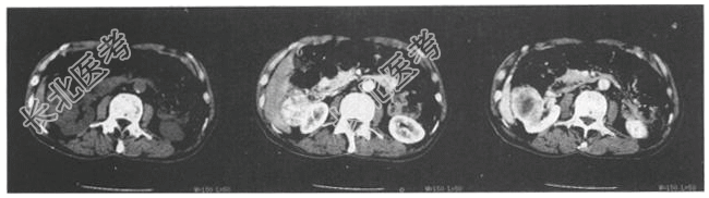
- 简答题2、CT检查所示如下图,诊断为?

关注下方微信公众号,搜题查看答案

- 简答题3、肾癌的早期诊断方法有哪些?
关注下方微信公众号,搜题查看答案

- 简答题4、肾癌的危险因素有哪些?
关注下方微信公众号,搜题查看答案

- 简答题5、肾癌的治疗方案通常包括哪些方面?
关注下方微信公众号,搜题查看答案

热门试题
- 1、为了明确病情,请问患者应优先选择哪些
- 1、影像诊断思路是什么?2、诊断要点与鉴
- 1、请问该病的影像学表现是什么?2、请问
- 1、患者可诊断为?2、患者优先选择的检查
- 1、请问患者入院后可以选择的哪些相关影像
- 1、硬膜下血肿临床表现有哪些?2、硬膜下
- 1、最可能的诊断是?2、室间隔缺损临床表
- 1、请问你认为该患者进一步的诊治方案是什
- 1、请问该患者最恰当的诊断是什么?2、患
- 1、请问该患者诊断是什么?2、诊断依据是
- 1、请问诊断是什么?2、诊断依据是什么?
- 1、请问该患者应首先考虑的诊断是什么?2
- 1、前列腺癌临床表现?2、前列腺癌的危险
- 1、请问该患者最可能的诊断是什么?2、请
- 1、本病例最可能的诊断是?2、食管癌的影
- 1、应首先考虑的诊断是?2、多发骨髓瘤的
- 1、请问该病历最可能的诊断是什么?2、请
- 1、请问关于该病变,首选的检查方法是什么
- 1、首先要考虑的疾病是?2、子宫肌瘤的病
- 1、影像诊断思路是什么?2、诊断要点与鉴