试题详情
- [材料题] 患者男性,75岁,无明显诱因出现咳嗽伴间断胸痛3周,无发热,体格检查右侧呼吸音略低。实验室检查:血常规、肝肾功能和凝血功能在正常范围。既往史:高血压、糖尿病史10年,半年前因心肌梗死,急诊行冠状动脉造影,发现左前降支明显狭窄,行支架置入治疗,术后常规口服阿司匹林和硫酸氢氯吡格雷(波立维)治疗,日常活动尚可。
- 简答题1、请问本患者的常规检查应包括哪些?
关注下方微信公众号,搜题查看答案

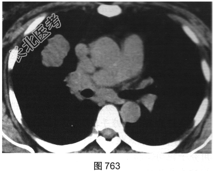
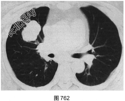
- 简答题2、患者行胸部CT检查,如图762、图763所示。胸部CT如图所示,超声心动图显示心功能降低,冠状动脉CTA除显示原支架内轻度狭窄外,未见其他异常。为明确病变性质,请问下一步应进行哪些检查?

关注下方微信公众号,搜题查看答案

- 简答题3、CT引导下经皮穿刺活检,显示病变为低分化腺癌。为确定治疗方案,请问下一步还应进行哪些检查?
关注下方微信公众号,搜题查看答案

- 简答题4、经过上述各项检查,明确病变未发生淋巴结和脑、肝、肾上腺等重要脏器转移,无EGFR等基因突变。目前可选择的治疗方法包括哪些?
关注下方微信公众号,搜题查看答案

热门试题
- 1、请问该患者可能的诊断是什么?2、请问
- 1、该患者的诊断是什么?2、前列腺增生临
- 1、该患者的诊断是什么?2、诊断依据有哪
- 1、请问患者应该考虑到是什么疾病?2、若
- 1、为了明确病情,请问患者应优先选择哪些
- 1、请问你认为应做哪些检查?2、患者所做
- 1、请问目前患者的诊断主要考虑什么?2、
- 1、针对上述病例,请问哪种疾病可能性最大
- 1、请问该案例诊断是什么?2、请问诊断依
- 1、该患者的影像诊断是什么?2、甲状腺癌
- 1、影像诊断思路是什么?2、诊断要点与鉴
- 1、请问该病例诊断是什么?2、请问诊断依
- 1、该病最可能的诊断是?2、类风湿关节炎
- 1、请问病毒性脑炎临床表现有哪些?2、请
- 1、图中钙化应考虑为?本病应诊断为?2、
- 1、请问该患儿诊断是什么?2、左侧气胸的
- 1、请问该病诊断是什么?2、膀胱结石的主
- 1、根据上述病史,请问首先考虑何种疾病?
- 1、请问本患者的常规检查应包括哪些?2、
- 1、影像诊断思路是什么?2、诊断要点与鉴