试题详情
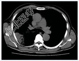
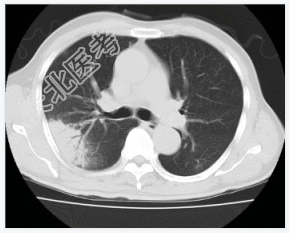
- [材料题] 患者,男性,47岁。发热,咳嗽,右胸痛3天入院。查体.体温,38℃。右上肺呼吸音减低,叩诊实音。心脏无异常。行胸部CT平扫。

- 简答题1、请问该病例诊断是什么?
关注下方微信公众号,搜题查看答案

- 简答题2、请问诊断依据是什么?
关注下方微信公众号,搜题查看答案

- 简答题3、鉴别诊断有哪些?
关注下方微信公众号,搜题查看答案

热门试题
- 1、根据上述病史,请问首先考虑何种疾病?
- 1、影像诊断思路是什么?2、诊断要点与鉴
- 1、影像诊断思路是什么?2、诊断要点与鉴
- 1、请问该病例影像诊断思路是什么?2、请
- 1、最可能的诊断是?2、室间隔缺损临床表
- 1、请问该患者诊断应该是什么?2、请问该
- 1、该患者诊断为?2、请问咽腔可以划分几
- 1、该患者的诊断是什么?2、胆囊癌的高危
- 1、图中钙化应考虑为?本病应诊断为?2、
- 1、请问该患者最恰当的诊断是什么?2、患
- 1、请问患者应该考虑到是什么疾病?2、若
- 1、首先要考虑的疾病是?2、子宫肌瘤的病
- 1、硬膜下血肿临床表现有哪些?2、硬膜下
- 1、从题干临床表现看,应首先考虑哪种疾病
- 1、该病例首先诊断为:2、黄色肉芽肿性肾
- 1、请问该病历最可能的诊断是什么?2、请
- 1、请问本患者的常规检查应包括哪些?2、
- 1、该患者的诊断是什么?2、前列腺增生临
- 1、该病最可能的诊断是?2、类风湿关节炎
- 1、根据病史及影像资料,首先考虑为?2、