试题详情
- [材料题] 现病史
患者,男性,34岁,因“左侧肢体活动不利伴言语困难3月”入院。3月前,患者驾车时不慎侧翻,头颅着地,当即意识不清,出现左外耳道流血,送往当地医院就诊,急查头颅CT示:“脑挫裂伤,右颞硬膜下血肿,左颞硬膜外血肿,左侧颞骨骨折,颅内积气、蛛网膜下腔出血,鼻窦炎”。当日在全麻下行“右侧颞叶去骨瓣减压术”,并给予呼吸机支持、抗炎、抑酸、营养神经、营养支持等治疗(具体用药不详)。患者生命体征逐渐平稳,意识逐渐恢复,但神志混乱,言语含糊,躁动不安。半月前于当地医院行颅骨修补术,手术顺利,术后患者神志有所好转。患者目前仍有左侧肢体活动不利,言语含糊,精神错乱,为求进一步诊治,门诊以“脑外伤术后”收治入院。患者发病以来意识有所恢复,睡眠尚可,饮食尚可,大小便失禁,体重较前减轻。
2.既往史
既往体健,否认高血压、糖尿病、冠心病等慢性病史,否认乙肝等传染病,否认食物药物过敏史,预防接种史不详。父母兄弟子女均体健。患者伤后左膝关节及左髋关节曾有外力暴力牵拉史。
3.体格检查(含康复评定)
(1)查体:T36.5℃,P70次/min,R20次/min,BP120mmHg/70mmHg。躁动不安,查体不能合作,右侧颞顶部见长约25cm弧形手术瘢痕,愈合可,未见明显渗出,无红肿。有睡眠、觉醒周期,自动睁眼,有简单发音,胡言乱语,有疼痛反应,格拉斯哥昏迷量表(Glasgow coma scale,GCS)睁眼4+语言3+运动5=12分。右侧眼睑皮肤肿胀,双侧瞳孔直径3mm,双侧对光反射(+)。双侧鼻唇沟对称,口角无明显偏斜,伸舌、张口、鼓腮等检查不配合。
(2)康复评定:肌力、感觉检查不配合,左上肢屈肌张力1级,左手屈指肌张力2级,左下肢屈肌张力3级。左膝肿胀,皮温升高,关节活动受限,屈膝90°,伸膝20°。腹股沟及大腿内侧肌肉触之偏硬,局部硬块。左髋关节活动受限,屈髋90°,外展20°,外旋0°。双侧腱反射(+++),左侧巴氏征(+),改良Barthel指数0分。坐位平衡0级,站位平衡0级。
4.实验室和影像学检查
(1)实验室检查:血常规、凝血功能、电解质、血脂正常范围。肾功能:Cr35μmol/L,BUN2.34mmol/L,UA158μmol/L。肝功能:ALP151IU/L。
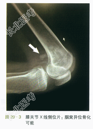
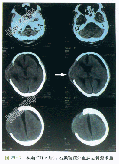
(2)影像学检查:①术前头颅CT示脑挫裂伤,右颞硬膜下血肿,左颞硬膜外血肿,左侧颞骨骨折,颅内积气,蛛网膜下腔出血,鼻窦炎,如图29-1所示。②术后头颅CT示右颞硬膜外血肿去骨瓣术后表现,脑挫裂伤,左筛窦及双蝶窦炎症,左侧颞骨骨折,如图29-2所示。③左膝关节片示左膝关节腘窝处异位骨化可能,如图29-3所示。④髋关节片示两侧髂前上棘及左侧股骨上段考虑异位骨化,左侧股骨头密度改变(考虑骨质疏松可能),如图29-4所示。
二、诊治经过
1.初步诊断
(1)脑外伤术后,左侧偏瘫,意识障碍。
(2)异位骨化(左膝、双髂前上棘、左股骨上段)。
2.诊治经过
(1)一般治疗:入院后完善相关检查,监测生命体征。
(2)治疗药物:给予奥拉西坦改善脑代谢,恩经复、腺苷钴胺营养神经,奥氮平改善精神症状,美多芭增强多巴胺受体活性促进意识恢复;西乐葆缓解局部炎性反应;巴氯芬降低肌张力;骨化三醇促进钙质沉积,改善骨质疏松。
(3)康复治疗:予偏瘫肢体综合训练,运动疗法促进肢体功能及肌力恢复,针灸促通经脉,红外线、气压改善肢体循环,肌电生物反馈诱发肢体主动动作。激光、中医定向透药改善左膝、左髋肿胀。现患者情况平稳,肌张力下降,躁动明显减少,异位骨化情况稳定。
- 简答题1、该患者诊断及诊断依据是什么?
关注下方微信公众号,搜题查看答案

- 简答题2、脑外伤患者常伴有异位骨化的原因及分析是?
关注下方微信公众号,搜题查看答案

- 简答题3、患者处理方案及依据是什么?
关注下方微信公众号,搜题查看答案

- 简答题4、异位骨化的处理方法有?
关注下方微信公众号,搜题查看答案

热门试题
- 1、该患者的诊断及诊断依据是?2、患者的
- 1、该患者的诊断是什么?2、诊断依据是什
- 1、该患者的诊断是?2、诊断依据是?3、
- 1、该患者的诊断是什么2、腰椎关节紊乱症
- 1、该患者的诊断是什么?2、患者处理方案
- 1、该患者的诊断是什么?2、诊断依据有哪
- 1、该患者右胫前肌及趾总伸肌肌力为?2、
- 1、该患者的诊断是什么?2、诊断依据有哪
- 1、该患者的诊断及诊断依据是?2、还需要
- 1、该患者的诊断是什么?2、诊断依据是什
- 1、目前诊断考虑是?2、治疗上能采用哪种
- 1、患者最可能的诊断是?2、患者可能处于
- 1、该患者的诊断是什么?2、诊断依据有哪
- 1、该患者首先应考虑是何疾病?2、乳腺癌
- 1、请问患者的诊断是什么?2、脊髓型颈椎
- 1、请问这位患者左上肢肘屈肌群肌张力改良
- 1、应首选的检查方法是?2、该病人最可能
- 1、该患者的诊断及诊断依据为?2、还需要
- 1、该患者诊断及诊断依据是什么?2、脑外
- 1、此患者佩戴矫形器的目的是?2、此患者