试题详情
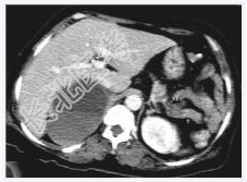
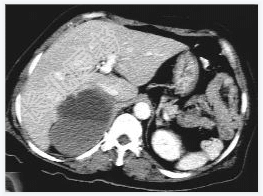
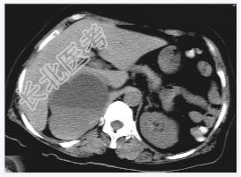
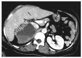
- [材料题] 女性,59岁,胸闷、头晕2天,呈持续性,伴呕吐,以进食后明显。发现“高血压”10年,“糖尿病”2年。体格检查:血压70~210/30~120mmHg。

- 简答题1、该病患诊断是什么?
关注下方微信公众号,搜题查看答案

- 简答题2、鉴别诊断有哪些?
关注下方微信公众号,搜题查看答案

- 简答题3、右肾上腺嗜铬细胞瘤囊变的定义是什么?
关注下方微信公众号,搜题查看答案

- 简答题4、右肾上腺嗜铬细胞瘤囊变的临床意义是什么?
关注下方微信公众号,搜题查看答案

- 简答题5、右肾上腺嗜铬细胞瘤囊变的诊断和治疗上需要注意哪些事项?
关注下方微信公众号,搜题查看答案

热门试题
- 1、请问诊断是什么?2、诊断依据是什么?
- 1、该患者的诊断是什么?2、前列腺增生临
- 1、请问该患者首选的诊断是什么?2、为进
- 1、胃溃疡临床特点是什么?2、胃溃疡的常
- 1、请问本患者的常规检查应包括哪些?2、
- 1、结合CT检查,最可能的诊断是?2、椎
- 1、请问针对该病患最准确的诊断是什么?2
- 1、请问此病例最可能诊断的是什么?2、该
- 1、请问该病例诊断是什么?2、请问该患儿
- 1、请问该病例最可能的诊断是?2、为了排
- 1、对于此患者,请问应考虑的诊断是什么?
- 1、根据MRI表现,可能的诊断是?2、[
- 1、患者已行颈部CT扫描,主要图像如下,
- 1、若病人有明确的外伤史1周,出现局部红
- 1、请问该患者的诊断是什么?2、请问该病
- 1、为明确病情,请问患者应优先选择哪种常
- 1、患者最可能的诊断是?2、提示]患者入
- 1、患者最可能的诊断是?2、[提示]患者
- 1、请问患者入院后可以选择的哪些相关影像
- 1、该患者的影像诊断是什么?2、胆脂瘤临