试题详情
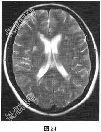
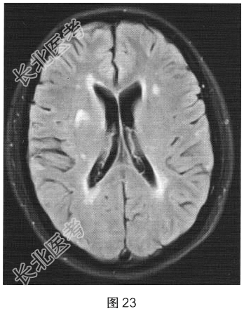
- [材料题] 患者女性,40岁,渐进性肢体无力6个月。颅脑MRI检查如图23、图24所示。

- 简答题1、根据MRI表现,可能的诊断是?
关注下方微信公众号,搜题查看答案

- 简答题2、[提示]患者行脊柱MRI平扫及增强检查,如图25、图26所示。关于MRI检查结果,请描述一下。

关注下方微信公众号,搜题查看答案

- 简答题3、根据脊髓和颅脑MRI表现,病变应诊断为?
关注下方微信公众号,搜题查看答案

- 简答题4、多发性硬化临床表现有哪些?
关注下方微信公众号,搜题查看答案

- 简答题5、多发性硬化治疗方法有哪些?
关注下方微信公众号,搜题查看答案

热门试题
- 1、该病例可能的诊断是什么?2、CT检查
- 1、请问该病例诊断是什么?2、请问该患儿
- 1、请问诊断是什么?2、诊断依据是什么?
- 1、初步诊断为何病?2、AS的诊断依据是
- 1、该患者的诊断是什么?2、肝脓肿的常见
- 1、本病最可能诊断为?2、请问诊断依据是
- 1、请问该病例诊断是什么?2、请问诊断依
- 1、该患者最有可能的诊断是?2、表皮样囊
- 1、首先要考虑的疾病是?2、子宫肌瘤的病
- 1、请问最可能的诊断是?2、为进一步确诊
- 1、请问你认为应做哪些检查?2、患者所做
- 1、结合CT检查,最可能的诊断是?2、椎
- 1、请问针对该病患最准确的诊断是什么?2
- 1、该病最可能的诊断是?2、类风湿关节炎
- 1、请叙述卵巢癌临床症状和该影像学表现?
- 1、请问该患者CT表现是什么?2、请问最
- 1、此病例最可能诊断为?2、该病患者的心
- 1、该病患诊断是什么?2、鉴别诊断有哪些
- 1、请问该患者首选的诊断是什么?2、为进
- 1、请问该病的影像学表现是什么?2、请问