试题详情
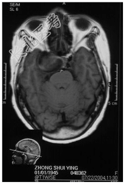
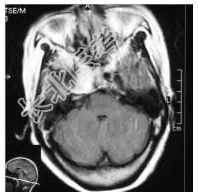
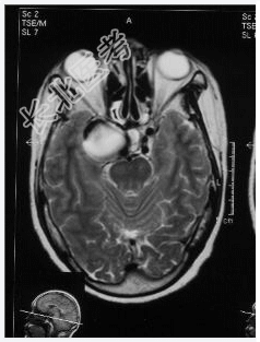
- [材料题] 患者,女性,59岁,因复视、右面瘫及蚁行感半年,间有头疼,无呕吐入院。体检:神清,右外展不全,复视,右面部皮肤感觉尚好,伸舌居中,右指鼻试验(-),四肢(-)。做头颅MRI检查。

- 简答题1、请问诊断是什么?
关注下方微信公众号,搜题查看答案

- 简答题2、诊断依据是什么?
关注下方微信公众号,搜题查看答案

- 简答题3、鉴别诊断有哪些?
关注下方微信公众号,搜题查看答案

热门试题
- 1、结直肠癌临床特点是什么?2、如何有效
- 1、该患者的诊断是什么?2、前列腺增生临
- 1、该患者的诊断是什么?2、诊断依据有哪
- 1、该病最可能的诊断是?2、类风湿关节炎
- 1、影像诊断思路是什么?2、诊断要点与鉴
- 1、请问该患者诊断应该是什么?2、请问该
- 1、CT检查如下图,请问拟诊断为什么?
- 1、请问该患儿诊断是什么?2、左侧气胸的
- 1、诊断是什么?2、心包积液的常见原因有
- 1、最可能的诊断是?2、室间隔缺损临床表
- 1、关于该病变,首选的检查方法是?2、提
- 1、请问该病的影像学表现是什么?2、请问
- 1、影像诊断思路是什么?2、诊断要点与鉴
- 1、请问该患者诊断是什么?2、诊断依据是
- 1、请问病毒性脑炎临床表现有哪些?2、请
- 1、该患者诊断为?2、请问咽腔可以划分几
- 1、请问最可能的诊断是?2、为进一步确诊
- 1、请问该患儿诊断是什么?2、请问诊断依
- 1、请问该患者最有可能的诊断是什么?2、
- 1、影像诊断思路是什么?2、诊断要点与鉴