试题详情
- [材料题]
患者女,49岁。由于“发作性幻视、头痛3年,发作性言语错乱1个月”就诊。3年前患者无明显诱因出现发作性幻视、头痛、眼眶痛;颅脑MRI示左枕叶病灶,给予激素等药物治疗病情好转,复查颅脑MRI病灶消失。1个月前患者出现发作性言语错乱,当地医院给予“泼尼松”、“丙种球蛋白”治疗,症状有所好转。既往有甲状腺功能减退病史。神经系统查体:无阳性体征。甲状腺功能正常。
- 简答题1、
为明确诊断此患者需要进行的检查项目包括应有
关注下方微信公众号,搜题查看答案

- 简答题2、
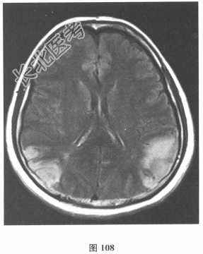
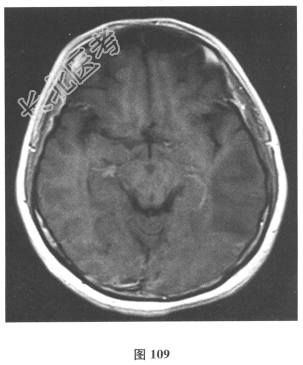
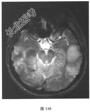
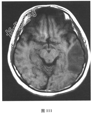
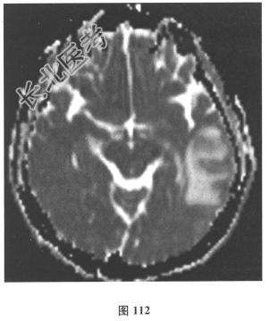
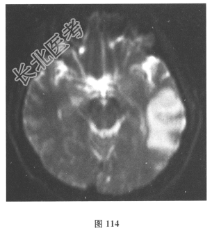
脑脊液检查:常规、生化均正常,CSF-病毒TORCH(-),抗Hu、Yo、Ri均阴性,OB、MBP正常。血清抗Hu、Yo、Ri均阴性。颅脑MRI显示左颞枕、右顶枕多发长T₁、长T₂信号,Flair高信号,病变累及皮质及皮质下白质,病灶无强化,见图108~图114。)根据颅脑MRI,需要鉴别的疾病应是







关注下方微信公众号,搜题查看答案

- 简答题3、
患者平静状态下血乳酸未见堆积现象,小于2mmol/L,活动15min后血乳酸未见异常增高(应与平静状态下差值大于4mmol/L)。HE病理染色病理肌红纤维明显病变。因此考虑患者可能性最大的疾病是
关注下方微信公众号,搜题查看答案

热门试题
- 1、最可能的诊断是 2、应与哪些疾病进
- 1、首先考虑的诊断是 2、患者入院检查
- 1、该患者的病变部位在 2、考虑诊断是
- 1、可能的病因有 2、患者高血压病史1
- 1、为明确诊断,还应进行的检查包括 2
- 1、此患者最可能的诊断是 2、此患者急
- 1、根据上述资料,建议患者进行哪些检查
- 1、本例头痛需要初步考虑的疾病有 2、
- 1、依据题干,考虑哪些疾病 2、此时需
- 1、有利于症状评定的量表包括 2、首选
- 1、急诊应先重点完善的检查包括 2、完
- 1、此患者可能的诊断包括 2、须完善的
- 1、患者意识淡漠、嗜睡最可能的原因应为
- 1、患者入院后应要进行的检查有 2、神
- 1、为明确诊断此时需要进一步检查 2、
- 1、初步诊断是什么?诊断依据有哪些?
- 1、为明确诊断,需完善哪些检查 2、若
- 1、结合病史,最可能的诊断是 2、需完
- 1、该患者的头晕的症状属于哪种类型 2
- 1、该患者最可能的诊断是 2、追问病史