试题详情
- [材料题]
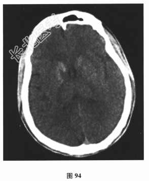
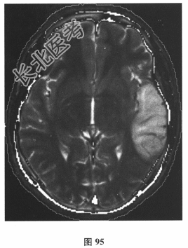
患者男,24岁。由于“反复发作性四肢抽搐3个月,言语困难1d”到院就诊。3个月前饮酒后出现四肢抽搐、意识丧失,持续3min左右自行缓解;10d前再发一次四肢抽搐。遂行颅脑CT(图94)及MRI平扫检查(图95)后予丙戊酸钠对症治疗。1d前再发四肢抽搐,出现言语困难。其母亲有糖尿病病史。查体:身材矮小,意识清楚,感觉性失语,四肢肌力、肌张力正常,腱反射对称活跃,深、浅感觉正常,病理反射未引出,脑膜刺激征(-)。脑脊液:压力110mmH₂O,细胞、蛋白、葡萄糖、氯化物均正常,乳酸3.6mmol/L↑。


- 简答题1、
该患者最可能的诊断是
关注下方微信公众号,搜题查看答案

- 简答题2、
追问病史,患者平素有发作性头痛、耳鸣,活动后容易疲劳。有助于明确诊断的检查是
关注下方微信公众号,搜题查看答案

- 简答题3、
静息及运动乳酸水平明显升高,mtDNA A3243G突变阳性。住院第2天患者再发类似的四肢抽搐,可以选用的药物包括
关注下方微信公众号,搜题查看答案

- 简答题4、
患者癫痫控制后,进一步的治疗主要包括
关注下方微信公众号,搜题查看答案

热门试题
- 1、首先考虑的诊断是 2、患者入院检查
- 1、本病的诊断为 2、本病常见的病因有
- 1、最可能的诊断是 2、应与哪些疾病进
- 1、此患者疾病最可能为 2、患者须完善
- 1、为明确诊断,需完善哪些检查 2、若
- 1、患者初步诊断主要应考虑哪些疾病 2
- 1、患者入院后应要进行的检查有 2、神
- 1、急诊应先重点完善的检查包括 2、完
- 1、患者存在的精神症状包括 2、在诊断
- 1、该患者最可能的诊断是 2、追问病史
- 1、本例头痛需要初步考虑的疾病有 2、
- 1、门诊询问病史时,还需采集哪些信息
- 1、此患者可能的诊断有 2、肌电图:右
- 1、依据题干,考虑哪些疾病 2、此时需
- 1、有助于诊断的检查有 2、新斯的明试
- 1、最可能的诊断为 2、应与哪些疾病进
- 1、该患者的诊断是什么?诊断依据是什么?
- 1、该患儿最可能的诊断为 2、上述疾病
- 1、为明确诊断需要进一步检查 2、患者
- 1、该患者最可能的诊断是 2、半年余后