试题详情
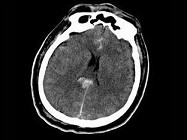
- 单项选择题男,25岁, 头颅外伤,昏迷, 意识丧失,结合CT图像, 最可能的诊断是 ( )

A、结节性硬化病
B、脑剪切伤
C、脑囊虫病
D、脑实质钙化灶
E、脑转移瘤
关注下方微信公众号,搜题查看答案

热门试题
- 听神经瘤时,患侧内听道比健侧更宽,其差别
- 豆纹动脉由哪一支动脉发出A、颈内动脉B、
- 脑室内囊虫除位于第四脑室外多位于 (
- 男,15岁, 2个月前无明显诱因出现头痛
- 女,51岁, 视力下降伴左侧面部麻木1个
- 男,69岁, 于1天前饮酒后突发左侧肢体
- 脑底动脉环(Willis环)不包括下列哪
- 椎动脉颅内段的主要分支为A、脑膜支B、脊
- 原发性脊髓栓系综合征表现为 (
- 女,10岁, 头痛,视力下降2个月, M
- 儿童颅内压增高较常见可靠的X线征象是A、
- 1、关于MRI,描述正确的是A、右侧桥前
- 1、该患者拟行颅脑MRI检查,应扫描的序
- 脑室内占位病变较为特征的CT表现为
- 有关血管源性脑水肿,下列说法错误的是A、
- 患者男性,高处坠落后颅脑CT报告硬膜下血
- 男,27岁, 头痛、双眼视力下降、多饮、
- 男,29岁, 头痛不适半个月,MRI扫描
- 结节性硬化患者在头颅X线平片或CT扫描发
- 脑外、脑内占位性病变的最主要鉴别点是