试题详情
- [材料题] 患者男性,26岁,发作性意识丧失5年,每月均有发作。发作时意识丧失、四肢抽搐、口吐白沫,约5分钟左右缓解,自诉发作前有腹气上升感。服用丙戊酸(0.5g/d)、奥卡西平(0.6g/d)3年,控制不佳。足月顺产,2岁时有细菌性脑炎并伴有热性惊厥。
- 多项选择题1.该患者拟行颅脑MRI检查,应扫描的序列包括( )
A、以≤4mm的薄层弥散加权成像沿海马长轴平面扫描,重点观察T2信号的改变
B、海马体积测量
C、以≤4mm的薄层T2-FLAIR垂直海马层面扫描,或容积扫描
D、以≤4mm的薄层T2WI沿海马长轴平面扫描,或容积扫描
E、海马磁共振波谱测量
F、以≤4mm的薄层T1WI沿海马长轴平面扫描,或容积扫描
关注下方微信公众号,搜题查看答案

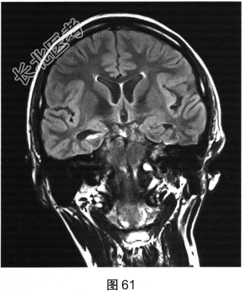
- 多项选择题2.[提示]患者行颅脑MRI检查,见图60、图61。MR检查可见哪些阳性影像学表现( )


A、右侧海马形态萎缩
B、右侧海马T2FLAIR信号增高
C、左侧颞叶皮质萎缩,脑沟增宽
D、室管膜下多发结节状灰质信号影
E、左侧海马T2FLAIR信号增高
F、左侧海马形态萎缩
G、右侧颞叶皮质萎缩,脑沟增宽
关注下方微信公众号,搜题查看答案

- 多项选择题3.根据患者病史及影像学检查,提示其可能的诊断是( )
A、脑皮质发育不良
B、原发性癫痫
C、内侧颞叶癫痫左侧海马硬化
D、内侧颞叶癫痫右侧海马硬化
E、结节硬化
F、内侧颞叶癫痫双侧海马硬化
关注下方微信公众号,搜题查看答案

- 多项选择题4.最适合该患者的治疗方式是( )
A、加用其他抗癫痫药物,并观察疗效
B、多点软膜下横切
C、胼胝体切除术
D、颞叶前部切除术
E、病灶切除术
F、半球切除术
关注下方微信公众号,搜题查看答案

热门试题
- 癫痫持续状态脑病的鉴别诊断不包括(
- 下列哪项不是脑部肿瘤的间接征象A、周围水
- 关于颅咽管瘤CT表现错误的是( )。
- 女,56岁。食管癌术后9个月, 头痛伴恶
- 神经纤维瘤病的CT和MRI表现有 (
- 大脑中动脉破裂少量出血易出现的部位是
- 男,5岁, 头痛,结合图像, 最可能的诊
- 患儿,男,12岁。CT示松果体区肿瘤,内
- MRI图像上有钙化的少突神经胶质瘤需要与
- 下列疾病中,可以发生交通性脑积水的是
- 男,1岁, 癫痫发作3次,智力反应低下,
- 皮肤出现色素斑,很有可能是( )A、
- 如图箭头所示为大脑哪个部位 (
- 男,65岁, 右侧肢体力弱,CT示左额顶
- 下述除哪种病变外,均有“颅缝提前闭合”表
- 男,30岁, 头颅外伤5小时,CT轴位平
- 下列脑挫裂伤描述,下列哪项是错误的
- 男,42岁, 头痛2年,加重1个月, M
- 不符合脑结核瘤的CT表现的是 (
- 女,12岁, 头痛、呕吐,癫痫反复发作1