试题详情
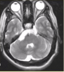
- [材料题] 女性,41岁。右侧面肌抽搐。MRI显示如下图。

- 多项选择题1.关于MRI,描述正确的是
A、右侧桥前池可见T
WI等信号及T
WI高信号B、未见异常
C、右侧三叉神经未见异常
D、右侧三叉神经可见包绕
E、基底动脉未见异常
F、基底动脉可见包绕
关注下方微信公众号,搜题查看答案

- 多项选择题2.可能的诊断是
A、表皮样囊肿
B、蛛网膜囊肿
C、胶样囊肿
D、畸胎瘤
E、Rathke裂囊肿
F、血管周围间隙
关注下方微信公众号,搜题查看答案

- 多项选择题3.关于表皮样囊肿与蛛网膜囊肿的鉴别诊断,正确的是
A、表皮样囊肿为CSF样囊性肿块,包绕邻近血管、神经
B、表皮样囊肿形态不规则,肿瘤沿蛛网下腔蔓延,“见缝就钻”为其特点
C、蛛网膜囊肿FLAIR、DWI低信号
D、表皮样囊肿边界清,形态规则
E、蛛网膜囊肿FLAIR、DWI高信号
F、表皮样囊肿FLAIR、DWI高信号
关注下方微信公众号,搜题查看答案

热门试题
- 在哪个时期,脑血肿与脑梗死的CT表现相仿
- 颅内动静脉畸形CT平扫,一般可为高、等、
- 下面有关大脑半球的描述,正确的为A、脑岛
- 下列哪一项描述不符合化脓性脑膜炎的A、基
- 1、可能的诊断是2、关于血管周围间隙,描
- 硬膜外血肿MRI表现中,下列描述哪项有错
- 男,52岁, 检查有脑动静脉畸形,激动后
- 后交通动脉连接于 ( )A、大脑
- 弥漫性星形细胞瘤的MRI表现,不正确的是
- 在脑膜瘤的肿瘤包膜构成中,除哪项其他均正
- 男,42岁, 头痛2年,加重1个月, M
- 有关脊髓脊膜膨出,错误的是 (
- 男,45岁, 头痛2年余,CT所见如图,
- 男,32岁, 手足无力、颤抖、视力减弱,
- 少突胶质细胞瘤的影像学表现,正确的是(
- 脊柱CT的特殊扫描方法是( )。A、
- 海绵状脑病(CJD)的分型不包括(
- 脑膜膨出或脑膜脑膨出易发生在A、人字缝B
- 以下有关髓内肿瘤的叙述,不正确的是(
- 女,46岁, 头痛、头昏半月入院,根据所