试题详情
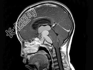
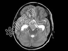
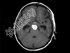
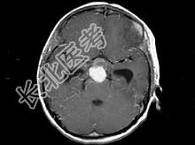
- 单项选择题男,15岁, 2个月前无明显诱因出现头痛,间断性钝痛, 根据所提供图像,最可能的诊断是 ( )

A、垂体瘤
B、颅咽管瘤(造釉细胞型)
C、生殖细胞瘤
D、胶质细胞瘤
E、结核性肉芽肿
关注下方微信公众号,搜题查看答案

热门试题
- 棘孔内通过的结构为A、上颌神经B、下颌神
- 男,19岁, 视力模糊1周,MRI检查如
- 神经鞘瘤的临床病理特点有A、可发生于脊髓
- 垂体微腺瘤在CT扫描时的间接征象包括以下
- CT显示跨越颅中后窝哑铃状肿块,岩骨尖部
- 有癫痫史,CT示脑内多发囊性病灶,无灶周
- 女,32岁, 头痛、右侧肢体功能障碍约1
- 以下哪种CT征象最有助于脑外肿瘤的诊断
- 有助于诊断结节性硬化的CT表现为 (
- 以下哪项关于脑皮质梗死的描述是错误的A、
- 观察颅底结构改变,下列哪种摄片位置最佳A
- 化脓性脑膜炎CT平扫早期表现是 (
- 下列组合中,无关的是A、蝶鞍一垂体B、颅
- 男,1岁, 癫痫发作3次,智力反应低下,
- 男,63岁, 反复抽搐30余年加重伴左侧
- 关于Dandy-Walker综合征,下列
- 下列哪个不是脑室的结构 ( )A
- 男,49岁, 1年前发现双颞侧视野缺损,
- 胶质母细胞瘤的鉴别诊断包括 (
- 患者男性,高处坠落后颅脑CT报告硬膜下血