试题详情
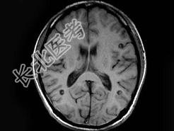
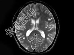
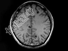
- 单项选择题男,29岁, 头痛不适半个月,MRI扫描如图, 最可能的诊断是 ( )

A、脑转移瘤
B、脑囊虫病
C、脑弓形虫病
D、脑脓肿
E、未见异常
关注下方微信公众号,搜题查看答案

热门试题
- 关于弥漫性轴索损伤,错误的说法是(
- 男,30岁,头颅CT示左小脑半球一3cm
- 间质性脑水肿的特点是A、脑室压力增高所引
- 女,58岁, 突发走路不稳1天,MRI检
- 男,13岁, 头痛1月余,近2天癫痫发作
- 关于Galen静脉瘤,下列CT特征哪项不
- 脑结核瘤的病理改变包括下述哪些 (
- 女,45岁, 垂体瘤术后7年,2个月前开
- 关于听神经瘤MRI表现,叙述错误的是(
- 下列哪项不支持鼓室血管球瘤A、搏动性耳鸣
- 患者男,24岁。头部被球击中,1周后出现
- 腔隙性脑梗死的大小一般是 ( )
- 1、以下叙述不正确的是( )。A、右
- 有癫痫史,CT示脑内多发囊性病灶,无灶周
- 癫痫发作2次,CT平扫示侧脑室旁多发低密
- 男,46岁, 头痛、呕吐1周,MRI如图
- 男,49岁, 癫痫发作3次。CT示左额叶
- 男,18岁, 角膜有K-F环,结合所提供
- MR图像T2WI“蜂窝状”“黑蠕虫”征(
- 中心性桥脑髓鞘溶解的常见病因是 (