试题详情
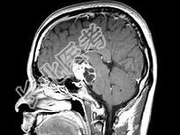
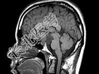
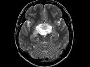
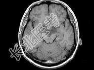
- 单项选择题男,27岁, 头痛、双眼视力下降、多饮、多尿4个月,根据所提供图像, 最可能的诊断是 ( )

A、颅咽管瘤
B、垂体瘤
C、生殖细胞瘤
D、胶质瘤
E、神经鞘瘤
关注下方微信公众号,搜题查看答案

热门试题
- 脑转移瘤的MRI征象有( )A、多数
- 女,38岁, 右眼视力失明2年,左眼视力
- 男,62岁, 有肺癌史,头痛、恶心、呕吐
- 关于胶质瘤,叙述错误的是( )A、W
- 位于蝶骨大翼的外部,其内有三叉神经的第三
- CT示颈前三角区囊性占位,可见钙化,囊壁
- 男,15岁, 2个月前无明显诱因出现头痛
- 结节性硬化的钙化特征是 ( )A
- 男,33岁, 阵发性头痛伴呕吐行走不稳1
- 间质性脑水肿的特点是A、脑室压力增高所引
- 下列哪些检查能够诊断颅内血管性疾病A、C
- 小脑囊实性肿瘤,壁结节轻度强化,周围轻度
- 关于皮样囊肿CT表现的描述,错误的是
- 关于“听神经瘤”,下列描述哪项不对
- 1、患者入院后首选以下哪项常规检查(
- CT鉴别小脑星形细胞瘤与血管网状细胞瘤的
- 脑梗死好发于A、大脑前动脉供血区B、大脑
- 1、临床拟诊为A、CPA区脑膜瘤B、CP
- 颅板厚薄不匀,较薄的部位是A、额顶部B、
- “环行强化”是下列哪种肿瘤的强化特征