试题详情
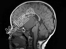
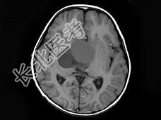
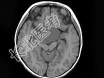
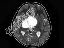
- 单项选择题女,51岁, 视力下降伴左侧面部麻木1个月,MRI检查如图所示, 应考虑为 ( )

A、垂体瘤
B、脑膜瘤
C、颅咽管瘤
D、生殖细胞瘤
E、未见异常
关注下方微信公众号,搜题查看答案

热门试题
- 男,51岁, 1个月前开始头痛,头昏,
- 小儿脑积水头颅平片的表现是A、颅缝分离、
- 椎管内动静脉畸形栓塞所用的固体微粒直径大
- MRI对甲状旁腺腺瘤的检出率可达 (
- 显示脑囊虫头节最佳的检查方法为A、MRI
- 关于胶质瘤,叙述错误的是( )A、W
- 少突胶质细胞瘤的CT表现有A、多呈类圆形
- 可以导致结构一代谢异常源型癫痫的疾病包括
- 成人,外伤后1小时, CT检查如图,最可
- 星形细胞瘤的CT表现为 ( )A
- 儿童小脑半球占位性病变,首先考虑 (
- 关于髓母细胞瘤的描述,下列哪项错误
- 动脉瘤的MRI表现哪项描述错误 (
- 下面有关大脑半球的描述,正确的为A、脑岛
- 外伤性CCF是指 ( )A、颈
- 男,49岁, 头痛、左侧肢体不能活动1周
- 多发性硬化急性期CT征象中,下列描述哪项
- CT扫描示一侧球后肌锥内类圆形肿块,边缘
- 如图箭头所示为视觉系统哪个部位 (
- 颅面血管瘤主要临床症状或CT特点A、面部