试题详情
- [材料题] 男性,68岁,头晕、头痛6月,进行性加重1周。
体格检查:GCS评分15分,双侧瞳孔等大等圆,对光反射灵敏,四肢肌力Ⅴ级。
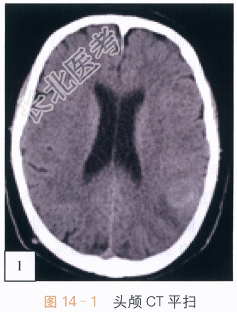
影像学资料:如图14-1~图14-4所示。
读片分析:头颅CT平扫,如图14-1所示,横断位示左颞叶见类圆形等高密度病灶,密度均匀、边界清楚,周围无明显水肿带,肿瘤临近蛛网膜下腔无增宽,脑沟脑回无受压或移位;头颅横断位MRI T₁W像,如图14-2,左颞叶类圆形低信号肿块影,内部信号稍欠均匀;邻近蛛网膜下腔无增宽,脑沟及脑回无明显受压移位;横断位T₂W像,如图14-3所示,肿块呈等高信号影,内部信号略不均匀,无明显囊变坏死及出血;增强扫描后横断位T₁W像,如图14-4所示,病灶强化稍欠均匀;病灶中必可见少许斑片状异常强化,余无明显异常强化,无脑膜尾征。
- 简答题1、脑膜瘤的诊断及诊断依据是什么?
关注下方微信公众号,搜题查看答案

- 简答题2、其影像学检查该怎么选择?
关注下方微信公众号,搜题查看答案

- 简答题3、低级别胶质瘤的影像学表现?
关注下方微信公众号,搜题查看答案

热门试题
- 1、垂体微腺瘤的主要影像学检查方法有哪些
- 1、请简述该病例的诊断要点是什么?2、最
- 1、初步拟诊为什么?2、若进一步诊断明确
- 1、该患者首先考虑什么疾病?2、该病好发
- 1、根据膝关节CR和CT影像,你认为此病
- 1、该患者的诊断及依据是什么?2、影像学
- 1、提示:查体发现腹部膨隆,肝肋下4cm
- 1、根据上述患者的临床表现及CT所示,可
- 1、请对该病例进行分析,提出可能的诊断及
- 1、诊断及依据是什么?2、鉴别诊断有哪些
- 1、该患者可能诊断及依据是什么?2、脑动
- 1、诊断及依据是什么?2、鉴别诊断有哪些
- 1、CT引导下穿刺活检术的适应证和禁忌证
- 1、影像诊断思路是什么?2、诊断要点是什
- 1、请问该患者可能诊断为?2、为进一步确
- 1、请问该病例可能的临床拟诊为?2、为进
- 1、该病例临床拟诊为?2、慢性中耳乳突炎
- 1、患者的诊断及依据是什么?2、鉴别诊断
- 1、诊断及依据是什么?2、鉴别诊断有哪些
- 1、该患者可能诊断及依据为什么?2、硬膜