试题详情
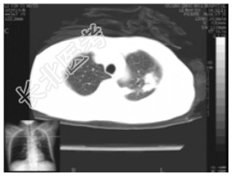
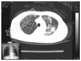
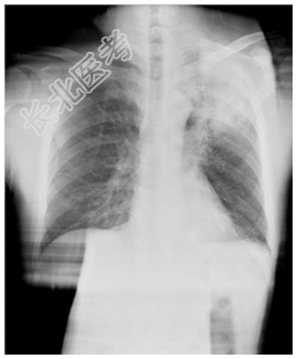
- [材料题] 女性,55岁,10余天前出现午后潮热(约38.5℃),无伴盗汗,有咳,痰少、带血丝,发病以来体重减轻5Kg,大小便正常,否认肺结核等病史。一般情况:无特殊。体查:左胸呼吸运动减弱,左侧语颤增强,左上肺叩诊浊音,并闻及干性啰音,语音传导增强。实验室检查:血常规及肿瘤五项、AFP、CEA均在正常范围。痰涂片未见真菌,未见抗酸杆菌,发现少量酵母样菌。

- 简答题1、患者的诊断及依据是什么?
关注下方微信公众号,搜题查看答案

- 简答题2、鉴别诊断有哪些?
关注下方微信公众号,搜题查看答案

热门试题
- 1、请简述该病例的诊断要点是什么?2、鉴
- 1、患者的诊断为什么?2、颈动脉间隙内有
- 1、腹腔动脉造影可显示的血管有?2、除了
- 1、脑动脉瘤经血管内治疗技术种类有哪些?
- 1、患者CT检查的主要影像表现是什么?2
- 1、脑膜瘤的诊断依据是什么?2、脑膜瘤的
- 1、根据膝关节CR和CT影像,你认为此病
- 1、影像诊断思路是什么?2、诊断要点是什
- 1、患者的诊断及依据是什么?2、鉴别诊断
- 1、鼻咽癌的影像诊断要点是什么?2、鼻咽
- 1、患者的诊断及依据是什么?2、食道静脉
- 1、患者的诊断及依据是什么?2、患者的相
- 1、肝血管瘤的鉴别诊断有哪些?2、肝血管
- 1、诊断及依据是什么?2、鉴别诊断有哪些
- 1、后纵隔神经源性肿瘤的检查方法与选择?
- 1、影像诊断思路是什么?2、诊断要点与鉴
- 1、为明确血管的闭塞程度应行的检查是?2
- 1、请简述该病例的诊断要点是什么?2、鉴
- 1、诊断要点是什么?2、鉴别诊断是什么?
- 1、诊断要点是什么?2、鉴别诊断是什么?