试题详情
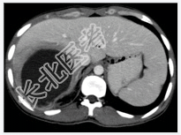
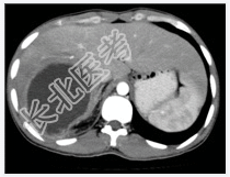
- [材料题] 患者男性,25岁,因发热.肝区疼痛2周入院。2周前患者无明显诱因出现高热.肝区疼痛,血常规检查白细胞及中性粒细胞明显升高。体查.肝肋缘下1cm可触及,且有明显触痛。行上腹部CT增强扫描+三维重建。

- 简答题1、患者的诊断及依据是什么?
关注下方微信公众号,搜题查看答案

- 简答题2、鉴别诊断有哪些?
关注下方微信公众号,搜题查看答案

热门试题
- 1、该患者的诊断及依据是什么?2、影像学
- 1、患者的诊断及依据是什么?2、鉴别诊断
- 1、诊断应考虑为什么?2、先天性巨结肠患
- 1、肝癌破裂出血的诊治原则及注意事项?2
- 1、气胸的主要影像学检查方法是哪些?2、
- 1、根据以上资料,应该做哪些检查?2、患
- 1、下咽在解剖学和临床上有哪些名称?2、
- 1、脑膜瘤的诊断及诊断依据是什么?2、其
- 1、患者的诊断及依据是什么?2、鉴别诊断
- 1、纵隔淋巴瘤的典型影像学有哪些表现?2
- 1、诊断及诊断依据是什么?2、鉴别诊断有
- 1、患者的诊断及依据是什么?2、相关的鉴
- 1、主动脉夹层常见的胸片表现有哪些?2、
- 1、患者的诊断及依据是什么?2、脉络膜裂
- 1、影像诊断思路是什么?2、诊断要点是什
- 1、患者的诊断及依据是什么?2、鉴别诊断
- 1、动脉瘤样骨囊肿的影像特征有哪些?2、
- 1、患者的诊断及依据是什么?2、鉴别诊断
- 1、信号由180°射频脉冲产生的是什么?
- 1、诊断要点是什么?2、鉴别诊断是什么?