试题详情
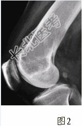
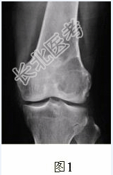
- [材料题] 患者女,35岁,左膝关节隐痛1年余,近1周加重,活动后明显疼痛。查体:左股骨下端外侧肿胀,压痛。行左膝关节正侧位CR,并行左膝关节CT扫描,见下图。

- 简答题1、根据膝关节CR和CT影像,你认为此病例的影像学表现有?
关注下方微信公众号,搜题查看答案

- 简答题2、对本病例,应首先考虑的诊断是?
关注下方微信公众号,搜题查看答案

- 简答题3、骨巨细胞瘤临床表现有?
关注下方微信公众号,搜题查看答案

热门试题
- 1、患者的诊断及依据是什么?2、鉴别诊断
- 1、肺结核不同类型的影像特点有哪些?2、
- 1、股骨头缺血坏死MRI典型的“双线征”
- 1、请简述该病例的诊断要点是什么?2、鉴
- 1、胸腔积液的检查方法与选择?2、胸腔积
- 1、根据以上临床资料及影像学检查,需要考
- 1、患者的诊断及依据是什么?2、鉴别诊断
- 1、腹腔动脉造影可显示的血管有?2、除了
- 1、患者的诊断及依据是什么?2、鉴别诊断
- 1、颅咽管瘤的鉴别诊断有哪些?2、颅咽管
- 1、请简述该病例的诊断要点是什么?2、鉴
- 1、患者的诊断及依据是什么?2、鉴别诊断
- 1、诊断要点是什么?2、鉴别诊断是什么?
- 1、请简述该病例的诊断要点是什么?2、鉴
- 1、患者的诊断及依据是什么?2、鉴别诊断
- 1、患者的诊断及依据是什么?2、鉴别诊断
- 1、诊断要点是什么?2、鉴别诊断是什么?
- 1、诊断及依据是什么?2、鉴别诊断有哪些
- 1、患者应进行哪些检查?2、患者行胸片正
- 1、请简述该病例的诊断要点是什么?2、鉴