试题详情
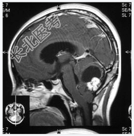
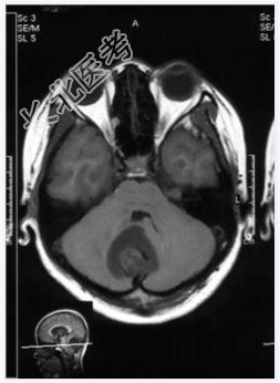
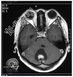
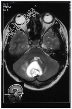
- [材料题] 患者,女性,19岁,因眩晕伴呕吐1周入院。体检:眼震,步态不稳,余未见异常。做头颅MRI检查。

- 简答题1、诊断及依据是什么?
关注下方微信公众号,搜题查看答案

- 简答题2、鉴别诊断有哪些?
关注下方微信公众号,搜题查看答案

热门试题
- 1、患者的鉴别诊断有哪些?2、慢性中耳乳
- 1、详细阐述纤维结构不良的鉴别诊断。2、
- 1、诊断要点是什么?2、鉴别诊断是什么?
- 1、软骨母细胞瘤的影像特征有哪些?2、软
- 1、室管膜瘤的影像学诊断有哪些?2、室管
- 1、下咽在解剖学和临床上有哪些名称?2、
- 1、影像诊断线索是什么?2、诊断要点是什
- 1、该患者可能诊断为什么?2、入院后影像
- 1、患者的诊断及依据是什么?2、鉴别诊断
- 1、诊断要点是什么?2、鉴别诊断是什么?
- 1、诊断及依据是什么?2、鉴别诊断有哪些
- 1、诊断及依据是什么?2、鉴别诊断有哪些
- 1、该患者的诊断及依据是什么?2、影像学
- 1、患者的诊断及依据是什么?2、患者的相
- 1、直肠癌常用的CT扫描分期如何分?2、
- 1、患者的诊断及依据是什么?2、鉴别诊断
- 1、骨巨细胞瘤的CT影像特征有哪些?2、
- 1、患者的诊断及依据是什么?2、肠扭转的
- 1、患者的诊断及依据是什么?2、患者的相
- 1、患者的诊断及依据是什么?2、鉴别诊断