试题详情
- [材料题] 一、病史
男,56岁,头痛1年余,进行性加重2月。
二、影像学资料及分析
影像学资料如图17-1~图17-6所示。
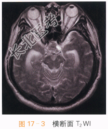
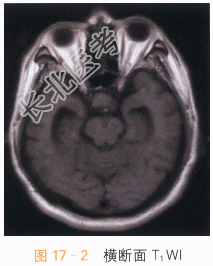
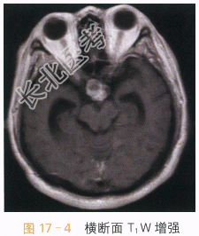
读片分析:头颅CT平扫见鞍上异常软组织影,并可见多发钙化,局部见“蛋壳样钙化”,横断面T₁W见鞍上异常软组织信号灶,呈等高信号影,T₂WI见病灶表现为囊实性肿块;增强扫描实性部分可见明显强化,囊性部分未见明显强化,但正常垂体结构能显示。结合患者临床,可考虑颅咽管瘤。
- 简答题1、颅咽管瘤的鉴别诊断有哪些?
关注下方微信公众号,搜题查看答案

- 简答题2、颅咽管瘤的主要影像学检查方法有哪些?
关注下方微信公众号,搜题查看答案

热门试题
- 1、患者的诊断及依据是什么?2、脉络膜裂
- 1、请问颈部增强CT检查的流程是什么?2
- 1、诊断及依据是什么?2、鉴别诊断有哪些
- 1、蛛网膜囊肿的好发部位?2、蛛网膜囊肿
- 1、肺结核不同类型的影像特点有哪些?2、
- 1、请简述该病例的诊断要点是什么?2、鉴
- 1、某图像的每个像素由8位组成,则该图像
- 1、内生软骨瘤与软骨肉瘤的鉴别要点有哪些
- 1、根据上述资料,应该做哪些检查?2、患
- 1、患者的诊断及依据是什么?2、相关鉴别
- 1、患者诊断要点是什么?2、病毒性脑炎鉴
- 1、诊断线索及影像诊断思路是什么?2、诊
- 1、患者X线检查的主要影像表现是什么?2
- 1、肝囊肿的影像表现有哪些?2、肝囊肿的
- 1、患者的诊断及依据是什么?2、鉴别诊断
- 1、请问该患者考虑的疾病是?2、请问该病
- 1、请对该病例进行分析,提出可能的诊断及
- 1、患者CT检查的主要影像表现是什么?2
- 1、肾盂癌的影像学表现有哪些?2、肾盂癌
- 1、为什么选择颈椎张口位来观察寰枢椎?2