试题详情
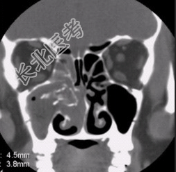
- [材料题] 患者男,35岁,鼻腔分泌物多,流脓涕,鼻塞,头痛,面部局部压痛1个月余。体检:鼻腔分泌物多,鼻黏膜肿胀。CT表现如下图。

- 简答题1、请问该患者最可能的诊断是什么?
关注下方微信公众号,搜题查看答案

- 简答题2、请问慢性化脓性鼻窦炎影像学表现有哪些?
关注下方微信公众号,搜题查看答案

- 简答题3、请问上颌窦发生感染机会最高的原因是什么?
关注下方微信公众号,搜题查看答案

- 简答题4、请问真菌性鼻窦炎的并发症有哪些?
关注下方微信公众号,搜题查看答案

热门试题
- 1、该患者的诊断是什么?2、胆囊癌的高危
- 1、该患者的影像诊断是什么?2、胸腺瘤临
- 1、结合CT检查,最可能的诊断是?2、椎
- 1、该患者最有可能的诊断是?2、表皮样囊
- 1、请问该病历最可能的诊断是什么?2、请
- 1、请问最可能的诊断是?2、为进一步确诊
- 1、此病例最可能诊断为?2、该病患者的心
- 1、结直肠癌临床特点是什么?2、如何有效
- 1、请问该病例首选诊断的疾病是什么?2、
- 1、请问该患者最可能的诊断是什么?2、请
- 1、影像诊断思路是什么?2、诊断要点与鉴
- 1、请问患者入院后应先选择哪些常规检查?
- 1、请问患者诊断是什么?2、请问诊断依据
- 1、最可能的诊断是?2、为什么患者会有长
- 1、请问该患者最有可能的诊断是什么?2、
- 1、影像诊断思路是什么?2、诊断要点与鉴
- 1、请问该患者诊断是什么?2、诊断依据是
- 1、请问你认为最可能的诊断是什么?2、请
- 1、结合CR和MR,最可能的诊断是?2、
- 1、该病患诊断是什么?2、鉴别诊断有哪些