试题详情
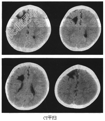
- [材料题] 患者,女,8岁。因为癫痫、智力低下来院检查,影像学检查如下图。

- 简答题1、请问该患者的诊断是什么?
关注下方微信公众号,搜题查看答案

- 简答题2、请问该病常见的临床表现是什么?
关注下方微信公众号,搜题查看答案

- 简答题3、请问本病的特点是什么?
关注下方微信公众号,搜题查看答案

热门试题
- 1、患者可诊断为?2、患者优先选择的检查
- 1、影像诊断思路是什么?2、诊断要点与鉴
- 1、请问该患者诊断是什么?2、请问鉴别诊
- 1、应首先考虑的诊断是?2、多发骨髓瘤的
- 1、该患者的影像诊断是什么?2、胸腺瘤临
- 1、根据病史及影像资料,首先考虑为?2、
- 1、请对该患者影像征象进行描述。2、根据
- 1、请问该患者首选的诊断是什么?2、为进
- 1、请问你认为该患者进一步的诊治方案是什
- 1、CT检查如下图,拟诊断为?
- 1、请问该病历最可能的诊断是什么?2、请
- 1、根据上述病史,请问首先考虑何种疾病?
- 1、该病例首先诊断为:2、黄色肉芽肿性肾
- 1、针对上述病例,请问哪种疾病可能性最大
- 1、硬膜下血肿临床表现有哪些?2、硬膜下
- 1、请对该病的MRI进行描述。2、根据该
- 1、结直肠癌临床特点是什么?2、如何有效
- 1、最可能的诊断是?2、室间隔缺损临床表
- 1、该患者的影像诊断是什么?2、甲状腺癌
- 1、请问该患者可能的诊断是什么?2、请问