试题详情
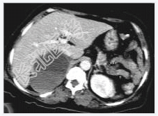
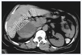
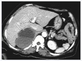
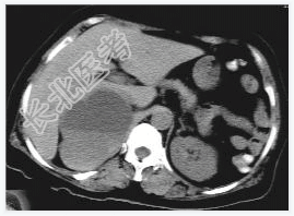
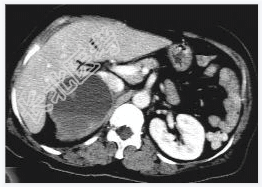
- [材料题] 女性,59岁,胸闷、头晕2天,呈持续性,伴呕吐,以进食后明显。发现“高血压”10年,“糖尿病”2年。体格检查:血压70~210/30~120mmHg。

- 简答题1、该病患诊断是什么?
关注下方微信公众号,搜题查看答案

- 简答题2、鉴别诊断有哪些?
关注下方微信公众号,搜题查看答案

- 简答题3、右肾上腺嗜铬细胞瘤囊变的定义是什么?
关注下方微信公众号,搜题查看答案

- 简答题4、右肾上腺嗜铬细胞瘤囊变的临床意义是什么?
关注下方微信公众号,搜题查看答案

- 简答题5、右肾上腺嗜铬细胞瘤囊变的诊断和治疗上需要注意哪些事项?
关注下方微信公众号,搜题查看答案

热门试题
- 1、为了明确诊断,请问需要做哪些检查?2
- 1、影像诊断思路是什么?2、诊断要点与鉴
- 1、结合CT检查,最可能的诊断是?2、椎
- 1、请问该患者应首先考虑的诊断是什么?2
- 1、请问该病例诊断是什么?2、请问诊断依
- 1、脑脊液检查结果如何支持化脓性脑膜炎的
- 1、请问该病历最可能的诊断是什么?2、请
- 1、从题干临床表现看,应首先考虑哪种疾病
- 1、CT检查如下图,拟诊断为?
- 1、硬膜下血肿临床表现有哪些?2、硬膜下
- 1、请问该病例影像学首先应做哪些检查?2
- 1、首先要考虑的疾病是?2、子宫肌瘤的病
- 1、请问此病例最可能诊断的是什么?2、该
- 1、影像诊断思路是什么?2、诊断要点与鉴
- 1、请问该病例首选诊断的疾病是什么?2、
- 1、影像诊断思路是什么?2、诊断要点与鉴
- 1、请问该患者最可能的诊断是什么?2、请
- 1、该患者的影像诊断是什么?2、胸腺瘤临
- 1、请问该病例诊断是什么?2、请问该患儿
- 1、针对上述病例,请问哪种疾病可能性最大