试题详情
- [材料题] 【临床病史】女性,42岁。盆腔无痛性包块7年。
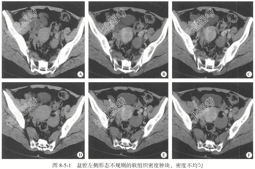
【专科查体】宫体:前位,如孕9周大小,质硬,表面凹凸不平,形态欠规整,活动可,无压痛;双侧附件:左侧附件区触及大小约6cm包块,边界清,表面光滑,活动可,无压痛;右侧未触及明显肿块。
【影像学检查】采用GE64排螺旋CT扫描仪,扫描方式包括腹盆腔CT平扫及增强扫描,扫描层厚为5mm,窗宽为200~220HU,窗位为40~50HU,电压120kV,电流280mA,增强扫描采用300mg/ml泛影葡胺或优维显静脉注射,注射剂量为80~100ml,注药后立即行动脉期扫描,间隔30~45秒后行静脉期扫描。
【影像图片】见图8-5-1。
【手术所见】子宫前位,如孕9周大小,子宫后壁饱满,左侧卵巢囊性增大,大小约7cm×6cm×6cm,与同侧盆壁及部分肠管、网膜粘连,双侧输卵管及右侧卵巢外观正常。用穿刺吸引器刺入囊肿,见咖啡色囊液流出,吸净囊液,剥除囊壁,见囊肿为多房状,囊腔内另见子囊,子囊液呈稀薄淡黄色油脂样。
【病理所见】(左侧卵巢囊肿)囊壁样组织一堆,大小为2.5cm×2cm×0.8cm,壁厚0.1~0.2cm,内外壁光滑,呈淡粉色,质韧。(左侧卵巢囊肿底部)不整组织一块,大小为1.4cm×1cm×0.8cm,似有包膜(图8-5-2),表面呈灰红色,切面呈灰黄色,质中。
【病理诊断】(左侧卵巢囊肿底部)卵巢甲状腺肿。
- 简答题1、影像诊断思路是什么?
关注下方微信公众号,搜题查看答案

- 简答题2、诊断要点与鉴别诊断是什么?
关注下方微信公众号,搜题查看答案

热门试题
- 1、请问目前患者的诊断主要考虑什么?2、
- 1、请问针对该病患最准确的诊断是什么?2
- 1、脑脊液检查结果如何支持化脓性脑膜炎的
- 1、CT检查如下图,请问拟诊断为什么?
- 1、该患者的诊断是什么?2、请问诊断依据
- 1、根据病史及影像资料,首先考虑为?2、
- 1、根据症状分析,请问首选的影像学检查是
- 1、请问该患者的诊断是什么?2、请问该病
- 1、请问该病例诊断是什么?2、请问诊断依
- 1、请问你认为最可能的诊断是什么?2、请
- 1、为明确诊断,请问需要做哪些检查?2、
- 1、请问该病诊断是什么?2、膀胱结石的主
- 1、请问诊断是什么?2、诊断依据是什么?
- 1、请对该病变CT影像表现进行描述。2、
- 1、影像诊断思路是什么?2、诊断要点与鉴
- 1、请问该患者诊断应该是什么?2、请问该
- 1、请问该患者可能的诊断是什么?2、请问
- 1、本病最可能诊断为?2、请问诊断依据是
- 1、该患者最有可能的诊断是?2、表皮样囊
- 1、请问该患者应首先考虑的诊断是什么?2