试题详情
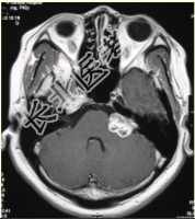
- [材料题] 患者女,40岁。左侧听力下降半年,临床治疗效果不显著。MRI增强检查如下图。

- 简答题1、请问该患者可能的诊断是什么?
关注下方微信公众号,搜题查看答案

- 简答题2、请问该病常见症状有哪些?
关注下方微信公众号,搜题查看答案

- 简答题3、请问该病治疗方法通常包括哪些?
关注下方微信公众号,搜题查看答案

热门试题
- 1、请问该患儿诊断是什么?2、请问诊断依
- 1、结直肠癌临床特点是什么?2、如何有效
- 1、为了明确诊断,请问需要做哪些检查?2
- 1、请问该病的影像学表现是什么?2、请问
- 1、请问该病例最可能的诊断是?2、为了排
- 1、该患者的影像诊断是什么?2、甲状腺癌
- 1、请问该患者入院后首先要做哪项常规检查
- 1、请问可能诊断的是?2、为进一步明确诊
- 1、影像诊断思路是什么?2、诊断要点与鉴
- 1、该病例首先诊断为:2、黄色肉芽肿性肾
- 1、该患者的诊断是什么?2、前列腺增生临
- 1、影像诊断思路是什么?2、诊断要点与鉴
- 1、首先要考虑的疾病是?2、子宫肌瘤的病
- 1、请问针对该病患最准确的诊断是什么?2
- 1、胃溃疡临床特点是什么?2、胃溃疡的常
- 1、应首先考虑的诊断是?2、多发骨髓瘤的
- 1、请叙述卵巢癌临床症状和该影像学表现?
- 1、请问此病例最可能诊断的是什么?2、该
- 1、图中钙化应考虑为?本病应诊断为?2、
- 1、请问肥厚型心肌病的临床表现有哪些?2