试题详情
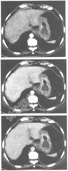
- [材料题] 患者,男性,79岁,上腹部疼痛,不易缓解,吐咖啡色血液。行上腹部CT增强扫描,如下图。

- 简答题1、请问该患者应首先考虑的诊断是什么?
关注下方微信公众号,搜题查看答案

- 简答题2、请描述一下该病的转移方式。
关注下方微信公众号,搜题查看答案

- 简答题3、请问该病的治疗方案有哪些?
关注下方微信公众号,搜题查看答案

热门试题
- 1、对于此患者,请问应考虑的诊断是什么?
- 1、请问患者入院后应先选择哪些常规检查?
- 1、请问患者入院后可以选择的哪些相关影像
- 1、最可能的诊断是?2、室间隔缺损临床表
- 1、影像诊断思路是什么?2、诊断要点与鉴
- 1、脉络丛肿瘤临床表现有?2、脉络丛肿瘤
- 1、为了明确诊断,请问需要做哪些检查?2
- 1、结合CR和MR,最可能的诊断是?2、
- 1、请问你认为该患者进一步的诊治方案是什
- 1、该患者的影像诊断是什么?2、甲状腺癌
- 1、请问该病例最可能的诊断是?2、为了排
- 1、脑脊液检查结果如何支持化脓性脑膜炎的
- 1、根据MRI表现,可能的诊断是?2、[
- 1、影像诊断思路是什么?2、诊断要点与鉴
- 1、该患者的诊断是什么?2、前列腺增生临
- 1、硬膜下血肿临床表现有哪些?2、硬膜下
- 1、该患者诊断为?2、请问咽腔可以划分几
- 1、请问影像诊断思路是什么?2、请问诊断
- 1、根据症状分析,请问首选的影像学检查是
- 1、请问该患者最恰当的诊断是什么?2、患