试题详情
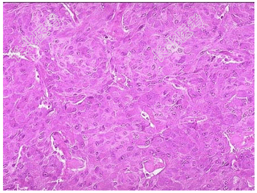
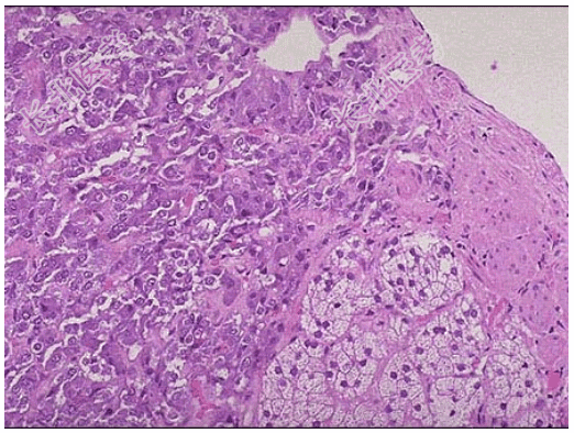
- [材料题] 患者男性,58岁,因阵发性头晕,视物模糊,血压升高入院,CT示左侧肾上腺肿物。行手术切除,巨检如图:肿瘤直径3cm,包膜完整,切面灰红色,部分区可见出血,镜下如图所示。临床诊断为肾上腺嗜铬细胞瘤。

- 简答题1、该疾病的免疫组化表现为?
关注下方微信公众号,搜题查看答案

- 简答题2、该疾病分子生物学上有哪些改变?
关注下方微信公众号,搜题查看答案

- 简答题3、该疾病的预后如何?
关注下方微信公众号,搜题查看答案

热门试题
- 1、光镜下大部分区域形态如左图所示,局部
- 1、巨检甲状腺组织不整形,切面呈多结节状
- 1、该疾病镜下改变表现为?2、该疾病免疫
- 1、该患者最可能的病因是?2、该疾病的病
- 1、手术切除标本光镜观察如下图,最可能的
- 1、该疾病的镜下改变表现为?2、该疾病免
- 1、该疾病病因包括?2、该疾病多发于?3
- 1、该疾病的镜下改变表现为?2、根据浸润
- 1、该疾病病因包括?2、该疾病肉眼改变表
- 1、该疾病的病因包括?2、该疾病细菌侵入
- 1、该疾病的病因和临床特点表现为?2、该
- 1、该疾病好发部位为?2、根据其病变累及
- 1、该疾病的大体改变表现为?2、该疾病的
- 1、该疾病肉眼改变表现为?2、该疾病的并
- 1、该疾病的大体改变为?2、该疾病的镜下
- 1、最可能的诊断是?2、该疾病的临床特征
- 1、患者的疾病诊断最可能是?2、该疾病主
- 1、该疾病可发生于?2、该疾病肉眼改变表
- 1、传统上我国学者一般将食管鳞状细胞癌分
- 1、该疾病诊断时要注意哪几点?2、该疾病