试题详情
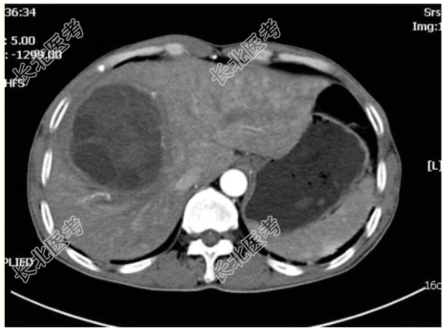
- [材料题] 患者男,52岁,因“反复中上腹胀痛伴畏寒、低热1个月余,加重5 d”来诊。腹部CT:右肝囊性占位,如图所示。

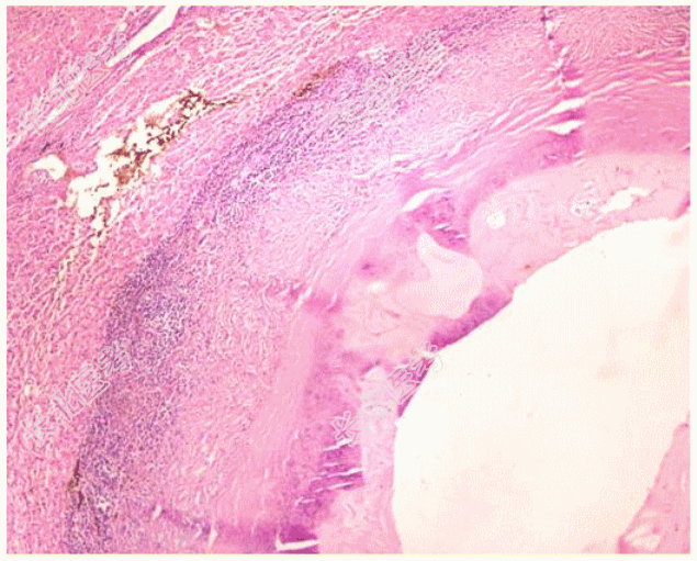
- 简答题1、手术切除标本光镜观察如下图,最可能的诊断是?

关注下方微信公众号,搜题查看答案

- 简答题2、该疾病的肉眼改变表现为?
关注下方微信公众号,搜题查看答案

热门试题
- 1、该疾病诊断时要注意哪几点?2、该疾病
- 1、该患者首先考虑?2、该疾病镜下改变表
- 1、应考虑的诊断为?2、该病的疾病类型属
- 1、该疾病的临床特点是?2、该疾病的病理
- 1、该疾病肉眼改变表现为?2、该疾病的并
- 1、最有可能的诊断是?2、该疾病好发于?
- 1、该患者应诊断为?2、该疾病免疫组化表
- 1、该疾病肉眼改变表现为?2、该疾病镜下
- 1、该疾病的病因和临床特点表现为?2、该
- 1、该疾病好发于哪个年龄段?2、该疾病好
- 1、最常发生骨转移的癌依次是?2、骨转移
- 1、该疾病镜下改变表现为?2、该疾病免疫
- 1、该患儿最可能诊断为?2、该疾病镜下表
- 1、该疾病的病理特点为?2、该疾病免疫组
- 1、该疾病的病因和发病机制是?2、该疾病
- 1、手术切除标本光镜观察如下图,最可能的
- 1、该疾病病理特点表现为?2、该疾病的免
- 1、套细胞淋巴瘤的分子遗传学特点性改变是
- 1、本病多见于?2、该疾病肉眼改变表现为
- 1、该疾病病因为?2、该疾病好发于?3、