试题详情
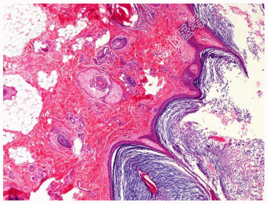
- [材料题] 患者女性,45岁,发现右下腹鸡蛋大肿物3月,行手术切除。大体见右卵巢囊性肿块5cm×5cm×4cm,包膜完整,切开内含大量皮脂、毛发,囊壁较光滑。显微镜下见角化鳞状上皮、丰富的皮脂腺、毛囊(如图)。临床诊断为卵巢成熟性囊性畸胎瘤。

- 简答题1、该疾病的大体改变表现为?
关注下方微信公众号,搜题查看答案

- 简答题2、该疾病的镜下改变表现为
关注下方微信公众号,搜题查看答案

- 简答题3、该疾病需与哪些疾病进行鉴别诊断?
关注下方微信公众号,搜题查看答案

热门试题
- 1、该疾病的病因包括?2、该疾病的病理改
- 1、该疾病的病因和发病机制是?2、该疾病
- 1、免疫组织化学角蛋白、EMA、钙视网膜
- 1、巨检甲状腺组织不整形,切面呈多结节状
- 1、该疾病免疫组化表达?2、该疾病需与哪
- 1、该疾病的临床特点为?2、该疾病有哪些
- 1、本病可发于?2、本病肉眼改变可有哪些
- 1、该疾病的临床特点为?2、该疾病有哪些
- 1、该患者应诊断为?2、该疾病多发于?3
- 1、套细胞淋巴瘤的分子遗传学特点性改变是
- 1、此病变应诊为?2、该疾病的临床特点是
- 1、应诊断为?2、该疾病的病因包括?3、
- 1、最可能的诊断为?2、该疾病可以有几种
- 1、该疾病肉眼改变表现为?2、该疾病镜下
- 1、最可能的诊断是?2、该病的疾病类型属
- 1、应首先考虑的是?2、该疾病需与哪些疾
- 1、此肿瘤应诊断为?2、该疾病免疫组化表
- 1、该病的病因包括?2、该疾病可有哪些肉
- 1、该疾病的镜下改变表现为?2、该疾病免
- 1、该疾病诊断时要注意哪几点?2、该疾病