试题详情
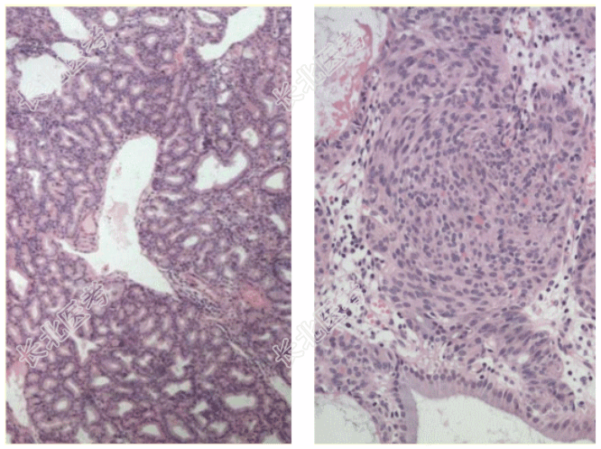
- [材料题] 患者女,65岁,因“体检B型超声发现胆囊息肉”来诊。术中见胆囊底部息肉样肿物,质软带蒂,切面灰红色。
- 简答题1、光镜下大部分区域形态如左图所示,局部形态如右图所示。最可能的诊断是

关注下方微信公众号,搜题查看答案

- 简答题2、胆囊腺瘤的病因和临床特点表现为?
关注下方微信公众号,搜题查看答案

热门试题
- 1、最可能的诊断是?2、该疾病的免疫组化
- 1、该疾病病理特点表现为?2、该疾病的免
- 1、该疾病镜下改变表现为?2、该疾病免疫
- 1、该疾病病因包括?2、该疾病多发于?3
- 1、可诊断为?2、该疾病肉眼主要表现为?
- 1、此病理通道是?2、该疾病的病理改变是
- 1、该疾病的大体改变为?2、该疾病的镜下
- 1、急性排斥反应诊断的经典三联征为?2、
- 1、该疾病的病理改变为?2、该疾病的典型
- 1、手术切除标本光镜观察如下图,最可能的
- 1、该疾病好发于?2、该疾病病理学改变表
- 1、最可能的诊断是?2、该病的疾病类型属
- 1、该疾病免疫表型表达?2、该疾病需与哪
- 1、应考虑的诊断为?2、该病的疾病类型属
- 1、该疾病好发于哪个年龄段?2、该疾病好
- 1、该疾病的病因有?2、该疾病可有哪些肉
- 1、该疾病的病因包括?2、该疾病的肉眼改
- 1、该疾病的病理特点为?2、该疾病免疫组
- 1、该患儿最可能诊断为?2、该疾病镜下表
- 1、该疾病肉眼改变表现为?2、该疾病镜下