试题详情
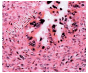
- [材料题] 患者女性,56岁,主诉下腹不适,妇科检查发现左侧附件肿物如儿头大小,手术切除卵巢肿瘤。肿瘤镜下病变如图示,间质细胞成份有异型,病理诊断为卵巢癌肉瘤。

- 简答题1、该疾病的大体改变为?
关注下方微信公众号,搜题查看答案

- 简答题2、该疾病的镜下改变表现为?
关注下方微信公众号,搜题查看答案

- 简答题3、该疾病需与哪些疾病进行鉴别诊断?
关注下方微信公众号,搜题查看答案

热门试题
- 1、该疾病的病因是?2、该病属于大叶肺炎
- 1、该患者最可能的病因是?2、该疾病的病
- 1、该疾病常见于?2、该疾病根据瘤细胞核
- 1、该疾病肉眼改变表现为?2、该疾病镜下
- 1、该疾病病因包括?2、该疾病肉眼改变表
- 1、该疾病的临床特点为?2、该疾病有哪些
- 1、最应该考虑的诊断是?2、该疾病按化生
- 1、该疾病的病因和发病机制是?2、该疾病
- 1、该疾病病理特点表现为?2、该疾病的免
- 1、该疾病光镜检查表现为?2、该疾病电镜
- 1、该疾病常见的转移部位包括?2、该疾病
- 1、该疾病镜下改变表现为?2、该疾病免疫
- 1、本病多见于?2、该疾病肉眼改变表现为
- 1、该疾病多见于?2、该疾病肉眼改变表现
- 1、该疾病的肉眼改变为?2、该疾病的镜下
- 1、光镜下大部分区域形态如左图所示,局部
- 1、该疾病常见于?2、该疾病肉眼改变表现
- 1、胆石症的病因和临床特点表现为?2、胆
- 1、巨检甲状腺组织不整形,切面呈多结节状
- 1、其病理诊断为?2、该疾病好发于?3、