试题详情
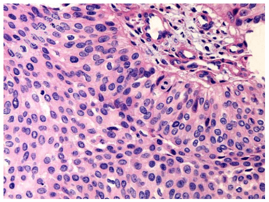
- [材料题] 男性,78岁,血尿2年。CT示右侧肾盂内可见软组织密度影,肾盂肾盏受压变形,考虑为肾脏肿瘤,遂行右肾切除,肾脏大体如图所示,镜检如图所示。临床考虑诊断为右肾盂移行细胞癌Ⅱ级。

- 简答题1、该疾病的病因和临床特点表现为?
关注下方微信公众号,搜题查看答案

- 简答题2、该疾病的肉眼改变表现为?
关注下方微信公众号,搜题查看答案

热门试题
- 1、该疾病镜下改变表现为?2、该疾病免疫
- 1、该疾病多见于?2、该疾病可有哪些肉眼
- 1、该疾病可发生于?2、该疾病肉眼改变表
- 1、该疾病的临床特点是?2、该疾病的病理
- 1、该疾病病理特点表现为?2、该疾病的免
- 1、最先怀疑的疾病是?2、该疾病的病因包
- 1、该疾病多发生于?2、该疾病病因包括?
- 1、该患者应诊断为?2、该疾病免疫组化表
- 1、首先考虑的诊断是?2、该肿瘤的染色体
- 1、该疾病病因包括?2、该疾病多发于?3
- 1、患者肝组织活检的镜下观如下图所示,肝
- 1、可诊断为?2、该疾病肉眼主要表现为?
- 1、该患者最可能的病因是?2、该疾病的病
- 1、该疾病光镜检查表现为?2、该疾病电镜
- 1、该疾病多数发生于?2、该疾病肉眼与镜
- 1、早期发现前列腺癌的最佳方法是?2、该
- 1、诊断考虑为?2、该病的发病机制是?3
- 1、该患者可能诊断为?2、该病例的疾病类
- 1、该疾病好发于?2、该疾病病理特点表现
- 1、该疾病根据病变的结构特征或生长方式分