试题详情
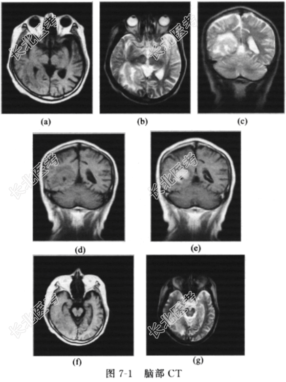
- [材料题] 患者男性,52岁,因“突发全身抽搐1次,不省人事10min”入院。入院前于急诊行CT(图7-1)示:右侧侧脑室后角周围占位性病变,脑萎缩。查体:神志清楚,口角无歪斜,伸舌居中,生理反射存在,病理征阴性。入院初步诊断:脑肿瘤?继发性癫痫。
男性患者因抽搐、不省人事入院,入院后MRI示:右侧枕叶见大小约65mm×45mm×45mm的长T1、T2异常信号影,边界模糊,边缘不规则,增强后病灶内不规则团状强化,周围水肿带,右侧侧脑室及附近脑沟未见明显受压,考虑淋巴瘤或转移瘤。血尿粪常规、胸部X线片、腹部B超、肿瘤标志物(CEA、CA19-9、CA125、CA153、CA72-4、SCC、NSE、PSA)均未见异常,考虑淋巴瘤。经手术切除病理示弥漫大B细胞淋巴瘤。
- 简答题1、对目前的诊断有何意见?
关注下方微信公众号,搜题查看答案

- 简答题2、此患者的后续治疗方案是什么?
关注下方微信公众号,搜题查看答案

- 简答题3、一线治疗失败,应如何选择二线治疗?
关注下方微信公众号,搜题查看答案

热门试题
- 1、目前考虑的诊断是什么?诊断依据是什么
- 1、该患者的诊断2、该患者目前主要的治疗
- 1、该患者的诊断及诊断依据是什么?2、进
- 1、该患者最可能的诊断是什么?2、该病流
- 1、胰腺癌病因是什么?危险因素有哪些2、
- 1、该患者初步诊断为?2、该病的诊断及鉴
- 1、该患者的临床分期为2、该患者首选治疗
- 1、该患者的初步诊断是什么?诊断依据是什
- 1、为了明确分期,患者还应该做的检查2、
- 1、该患者的诊断2、该患者目前主要的治疗
- 1、该患者的诊断2、该患者目前主要的治疗
- 1、该患者的诊断2、舌癌淋巴结转移的特点
- 1、该患者初步诊断为?诊断依据是什么?2
- 1、该患者的诊断2、该患者目前主要的治疗
- 1、该患者初步诊断为2、如何进行治疗
- 1、该患者的诊断2、该患者目前主要的治疗
- 1、中上颈部多发肿大淋巴结,病理为鳞癌,
- 1、该患者当前的诊断是2、该患者目前主要
- 1、该患者的诊断2、伽马刀治疗的原理是什
- 1、该患者皮肤结节的可能诊断有2、该患者