试题详情
- [材料题] 1.现病史
患者,男性,72岁。因"反复咳嗽、咳痰伴发作性气急2个月"入院。2个月前出现咳嗽、咳痰伴发作性气促,初为咳白色泡沫痰,后转为黄脓痰,无发热、盗汗。气促发作时需端坐呼吸伴大汗淋漓。X线胸片提示慢性支气管炎。予吸氧,头孢吡肟、左氧氟沙星、氟康唑抗感染,甲泼尼龙(甲强龙)40~80mg/d及多索茶碱抗炎解痉,利尿、强心、控制血压等治疗。患者咳嗽、咳痰症状好转,但气促症状逐渐加重,吃饭穿衣等日常活动均可引起气促发作,夜间反复出现急性气急加重伴端坐呼吸、大汗淋漓。为进一步治疗转入我科。病程中纳差、睡眠差,二便无殊,近一个月体重下降4kg。
2.既往史
有慢性阻塞性肺疾病(COPD)病史十余年,近4年间断按需吸入沙丁胺醇气雾剂。有高血压病史30年,服用阿米洛利治疗,血压控制欠佳。否认糖尿病、冠心病史。无结核病史,无药物过敏史。
3.体格检查
T37.0℃,BP135mmHg/70mmHg,R20次/min,P72次/min,神志清,精神差,消瘦。鼻导管吸氧2L/min,口唇无发绀,呼吸稍促。无皮肤巩膜黄染,无皮疹、肝掌、蜘蛛痣,轻度桶状胸,两肺叩诊过清音,双肺可闻及弥漫性哮鸣音。心脏各瓣膜听诊区未闻及病理性杂音。腹平软,无腹壁静脉曲张,肝脾肋下未及,未触及异常包块,无压痛反跳痛。双下肢无水肿。
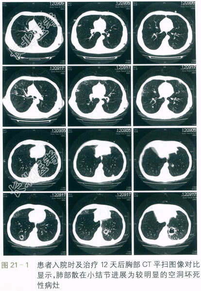
4.实验室和影像学检查
血常规:WBC9.53×109/L,N85.3%,RBC4.27×1012/L,PLT187×109/L。肝功能、肾功能正常;CRP45mg/L。不吸氧动脉血气提示pH7.43,PaCO244mmHg,PaO262mmHg。cTnT在正常范围,BNP670ng/L。入院当天胸部CT(见图21-1)提示双肺肺气肿表现,两肺少许散在结节样病灶,考虑炎性病灶可能大。心超提示肺动脉收缩压38mmHg,其余无明显异常。

- 简答题1、该患者初步诊断为?诊断依据是什么?
关注下方微信公众号,搜题查看答案

- 简答题2、处理方案及理由是什么?
关注下方微信公众号,搜题查看答案

热门试题
- 1、请问患者可能的诊断是?2、请问应首先
- 1、该患者初步诊断及诊断依据是什么?2、
- 1、该患者初步诊断为?2、诊断依据是什么
- 1、请问初步诊断为?(提示 血气分析:p
- 1、该患者初步诊断为?2、诊断依据是什么
- 1、危重患者呼吸监测的项目有哪些?2、机
- 1、该患者初步诊断为2、还需要与哪些疾病
- 1、该患者的诊断是什么?2、如何用药治疗
- 1、目前考虑的诊断是什么?诊断依据是什么
- 1、请问经治疗后患者出现烦躁,乱语,应马
- 1、该患者的诊断是什么?2、如何用药治疗
- 1、该患者初步诊断为?2、诊断依据是什么
- 1、请问该患者可能诊断有哪些?2、请问支
- 1、患者诊断及诊断依据为?2、患者的治疗
- 1、该患者目前的诊断是什么?依据是什么?
- 1、请问哪种药物可长期使用,并预防夜间发
- 1、该患者的诊断是什么?2、诊断依据有哪
- 1、考虑的诊断是?2、为明确诊断进一步需
- 1、请问提示肺栓塞的表现有?2、请问对确
- 1、请问急诊医师首先应尽快完善哪些辅助检