试题详情
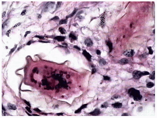
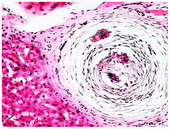
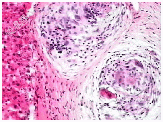
- [材料题] 患者,男,50岁,湖南岳阳人。因贫血、白细胞、血小板减少并腹水入院,临床诊断为“肝硬化”。肝穿刺活检镜下观如图所示,临床拟诊血吸虫性肝硬化。

- 简答题1、血吸虫病的病因包括?
关注下方微信公众号,搜题查看答案

- 简答题2、该疾病病理学改变表现为?
关注下方微信公众号,搜题查看答案

热门试题
- 1、临床诊断为?2、该疾病的感染途径主要
- 1、该患者的病理诊断为?2、该疾病预后如
- 1、该疾病肉眼改变表现为?2、该疾病镜下
- 1、纤支镜取活检镜下如图所示,该患者正确
- 1、最可能的诊断为?2、该肿瘤的性质为?
- 1、该疾病按病因、发病部位及临床表现等分
- 1、最可能的诊断是?2、该疾病的临床特征
- 1、该疾病镜下改变表现为?2、该疾病特殊
- 1、该疾病的病因包括?2、该疾病肉眼改变
- 1、急性排斥反应诊断的经典三联征为?2、
- 1、最有可能的诊断是?2、该疾病的病因为
- 1、该疾病的病理改变为?2、该疾病的典型
- 1、该疾病好发于?2、该疾病病理特点表现
- 1、该疾病镜下改变表现为?2、该疾病免疫
- 1、该患者可能的诊断为?2、该疾病好发年
- 1、最可能的诊断为?2、该疾病镜下改变表
- 1、最可能的诊断是?2、该疾病的免疫组化
- 1、此病理通道是?2、该疾病的病理改变是
- 1、于肿瘤处及其与周围交界处多点和多切面
- 1、该疾病的病因包括?2、该疾病镜下改变