试题详情
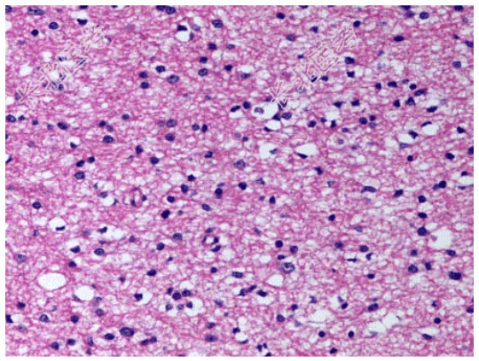
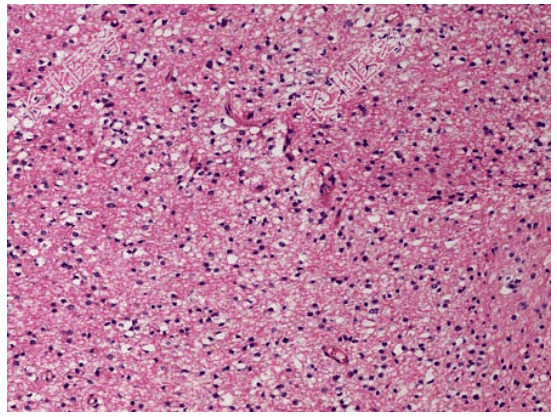
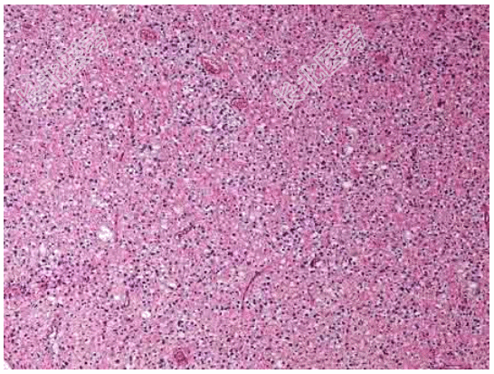
- [材料题] 患者男性,40岁,头痛、头晕3个月,加重1周。CT示左侧额叶一占位性病变,周围水肿轻微,占位效应明显,增强扫描后病灶无明显强化,考虑左侧额叶肿瘤。术后送检。镜检如图所示:瘤细胞胞浆空泡状,核圆形居中,弥漫分布,似“棋盘格”状。部分区间质出血及钙化灶。临床考虑诊断为左额叶少突胶质细胞瘤。

- 简答题1、该疾病好发于?
关注下方微信公众号,搜题查看答案

- 简答题2、该疾病病理特点表现为?
关注下方微信公众号,搜题查看答案

- 简答题3、该疾病免疫组化表现为?
关注下方微信公众号,搜题查看答案

热门试题
- 1、该患者可能诊断为?2、该病例的疾病类
- 1、该疾病病理学表现为?2、该疾病病免疫
- 1、该疾病病因包括?2、该疾病肉眼改变表
- 1、该疾病好发于?2、该疾病病理学改变表
- 1、该疾病的病因为?2、该疾病肉眼改变表
- 1、该患儿最可能诊断为?2、该疾病镜下表
- 1、该疾病的临床特点为?2、该疾病有哪些
- 1、该疾病的肉眼改变为?2、该疾病的镜下
- 1、该疾病的病因和临床特点表现为?2、该
- 1、具有上述病理特征的疾病是?2、该疾病
- 1、该疾病的病理分型包括?2、该肿瘤向周
- 1、该疾病的免疫组化表现为?2、该疾病分
- 1、该疾病的病因包括?2、该疾病侵及脑膜
- 1、最可能的诊断是?2、该疾病的临床特征
- 1、最有可能的诊断是?2、该疾病的病因为
- 1、手术切除标本光镜观察如下图,最可能的
- 1、最应该考虑的诊断是?2、该疾病按化生
- 1、该疾病的临床特点为?2、该疾病有哪些
- 1、最可能的诊断是?2、该疾病的镜下改变
- 1、该疾病有哪些特点?2、该疾病有哪些大