试题详情
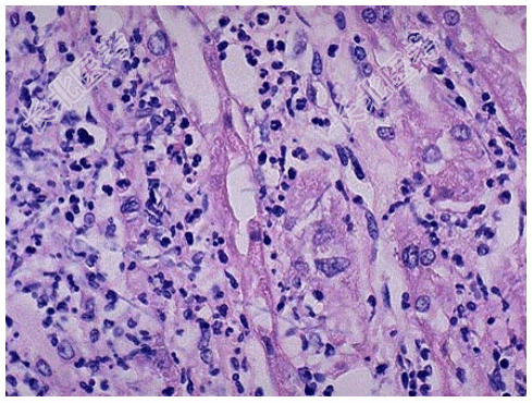
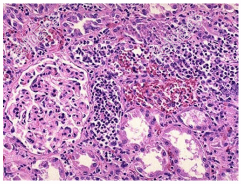
- [材料题] 死者,女性,28岁。因败血症死亡。发病初期曾有持续发热、腰痛、尿频、尿急、脓尿等症状。尸检见双肾肿大,包膜紧张,肾盂肾盏黏膜充血、水肿、表面有脓性分泌物,并可见小脓肿(如图),镜检如图所示。

- 简答题1、临床诊断为?
关注下方微信公众号,搜题查看答案

- 简答题2、该疾病的感染途径主要有?
关注下方微信公众号,搜题查看答案

- 简答题3、该疾病需与哪些疾病进行鉴别诊断?
关注下方微信公众号,搜题查看答案

热门试题
- 1、该疾病肉眼改变表现为?2、该疾病镜下
- 1、该疾病的病因有?2、该疾病的肉眼改变
- 1、发病部位最常见于?2、该疾病的肉眼改
- 1、该疾病的病因是?2、该病属于大叶肺炎
- 1、最应该考虑的诊断是?2、该疾病按化生
- 1、该肿瘤最可能的病理诊断是?2、该疾病
- 1、遗传性结直肠癌典型代表主要有哪几类?
- 1、该患者的病理诊断为?2、该疾病预后如
- 1、该疾病好发于?2、该疾病病理学改变表
- 1、患者肝组织活检的镜下观如下图所示,肝
- 1、该疾病镜下改变表现为?2、该疾病免疫
- 1、最可能的诊断为?2、该疾病镜下改变表
- 1、该疾病的病理分型包括?2、该肿瘤向周
- 1、首先考虑的诊断是?2、该肿瘤的染色体
- 1、最常发生骨转移的癌依次是?2、骨转移
- 1、肝硬化主要病因是?2、根据大体形态学
- 1、该疾病的病因有?2、该疾病可有哪些肉
- 1、本病多见于?2、该疾病肉眼改变表现为
- 1、该疾病肉眼改变表现为?2、该疾病镜下
- 1、该疾病考虑诊断为?2、该疾病镜下改变