试题详情
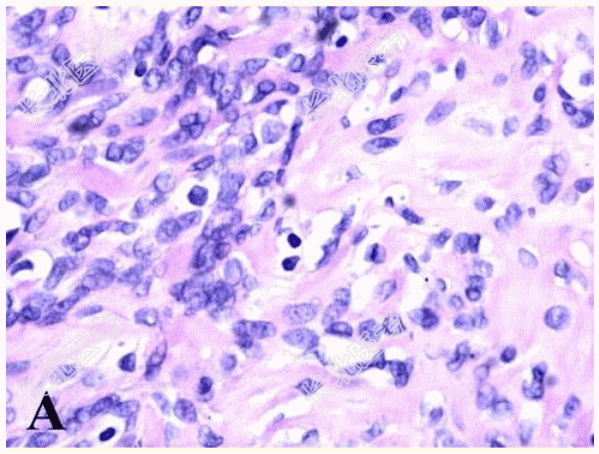
- [材料题] 患者男,40岁,因“呼吸困难、胸痛”来诊。患者从事采矿工作20余年。CT:左侧壁层胸膜5.0 cm×4.8 cm肿物,累及脏层胸膜和肺组织。术中见肿物单发,直径约5 cm,实性,灰白,与脏层胸膜粘连。镜下:肿瘤细胞呈成纤维细胞样,大部分异型性不明显,细胞稀少区和细胞丰富区之间有粗的玻璃样变胶原和分支状血管分隔,如图所示。

- 简答题1、最可能的诊断是?
关注下方微信公众号,搜题查看答案

- 简答题2、该疾病的临床特征表现为?
关注下方微信公众号,搜题查看答案

- 简答题3、该疾病免疫组化表达?
关注下方微信公众号,搜题查看答案

热门试题
- 1、最可能的诊断是?2、该疾病的镜下改变
- 1、最可能的疾病是?2、该疾病的肉眼改变
- 1、应诊断为?2、该疾病的病因包括?3、
- 1、该疾病病理学表现为?2、该疾病病免疫
- 1、该患者可能诊断为?2、该病例的疾病类
- 1、该疾病的病因是?2、该病属于大叶肺炎
- 1、该疾病好发于?2、该疾病病理特点表现
- 1、诊断考虑为?2、该病的发病机制是?3
- 1、该疾病肉眼改变表现为?2、该疾病镜下
- 1、该疾病的临床特点为?2、该疾病有哪些
- 1、早期发现前列腺癌的最佳方法是?2、该
- 1、最可能的疾病是?2、该疾病的病因是?
- 1、该疾病的大体改变为?2、该疾病的镜下
- 1、该疾病免疫表型表达?2、该疾病的扩散
- 1、根据上述描述,首先考虑的病理诊断是?
- 1、发病部位最常见于?2、该疾病的肉眼改
- 1、最可能的诊断是?2、该疾病的免疫组化
- 1、该疾病病因为?2、该疾病好发于?3、
- 1、该疾病考虑诊断为?2、该疾病镜下改变
- 1、该疾病的镜下改变表现为?2、根据浸润