试题详情
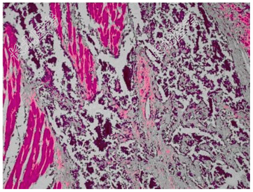
- [材料题] 患者男,18岁,会阴肿块,影像学表现如图所示。行穿刺活检,镜下形态如图所示。

- 简答题1、首先考虑的诊断是?
关注下方微信公众号,搜题查看答案

- 简答题2、该肿瘤的染色体异常表现为?
关注下方微信公众号,搜题查看答案

- 简答题3、该肿瘤好发于?
关注下方微信公众号,搜题查看答案

热门试题
- 1、该疾病多发于?2、该疾病的并发症有哪
- 1、该疾病的病因包括?2、该疾病侵及脑膜
- 1、该疾病的免疫组化表现为?2、该疾病分
- 1、该患者最有可能患有?2、该疾病免疫组
- 1、该病的病因包括?2、该疾病可有哪些肉
- 1、该疾病类型属于?2、该疾病多发于?
- 1、唇部发生哪些肿瘤的可能性较大,并可伴
- 1、发病部位最常见于?2、该疾病的肉眼改
- 1、该疾病的病因包括?2、该疾病镜下改变
- 1、此肿瘤应诊断为?2、该疾病免疫组化表
- 1、该疾病多见于?2、该疾病肉眼改变表现
- 1、该肿瘤最可能的病理诊断是?2、该疾病
- 1、此病变应诊为?2、该疾病的临床特点是
- 1、急性排斥反应诊断的经典三联征为?2、
- 1、该疾病的病因和发病机制是?2、该疾病
- 1、该疾病的镜下改变表现为?2、该疾病免
- 1、该疾病的病理分型包括?2、该肿瘤向周
- 1、该患者应诊断为?2、该疾病多发于?3
- 1、该疾病病理分型分为?2、各型均有共同
- 1、该疾病的病因为?2、该疾病肉眼改变表