试题详情
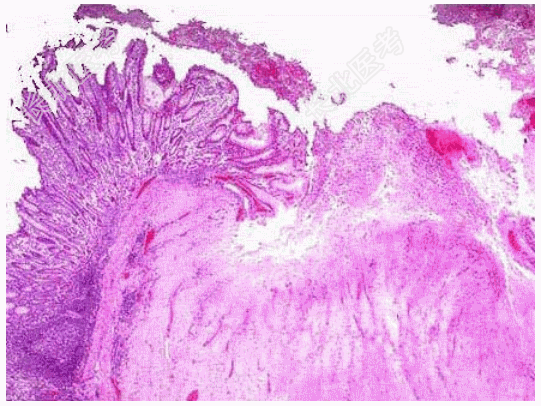
- [材料题] 患者,男,50岁。诉返酸、嗳气,上腹部不适1年。胃镜见胃窦部一直径1cm的溃疡。取活检3小块。镜下如图,病理诊断为慢性胃溃疡。

- 简答题1、该病的病因包括?
关注下方微信公众号,搜题查看答案

- 简答题2、该疾病可有哪些肉眼改变?
关注下方微信公众号,搜题查看答案

- 简答题3、该疾病可有哪些并发症?
关注下方微信公众号,搜题查看答案

热门试题
- 1、应考虑的诊断为?2、该病的疾病类型属
- 1、该疾病的镜下改变表现为?2、该疾病免
- 1、该疾病病因和发病机制主要包括?2、光
- 1、该疾病的大体改变表现为?2、该疾病的
- 1、最可能的疾病是?2、该疾病的病因是?
- 1、该疾病肉眼改变表现为?2、该疾病镜下
- 1、肝细胞癌的肉眼改变表现为?2、根据细
- 1、该疾病的临床特点为?2、该疾病有哪些
- 1、该疾病病理学分级分为?2、该疾病的免
- 1、该疾病的病因包括?2、该疾病侵及脑膜
- 1、该疾病病因包括?2、该疾病肉眼改变表
- 1、最可能的诊断是?2、该疾病需与哪些疾
- 1、该疾病大体检查表现为?2、该疾病组织
- 1、该疾病光镜检查表现为?2、该疾病需与
- 1、血吸虫病的病因包括?2、该疾病病理学
- 1、该疾病的临床特点是?2、该疾病的病理
- 1、该疾病的病理改变为?2、该疾病的典型
- 1、早期胃癌分为?最多见的是?2、表浅型
- 1、此病理通道是?2、该疾病的病理改变是
- 1、该患者最可能的诊断是什么?2、该疾病