试题详情
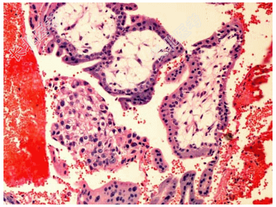
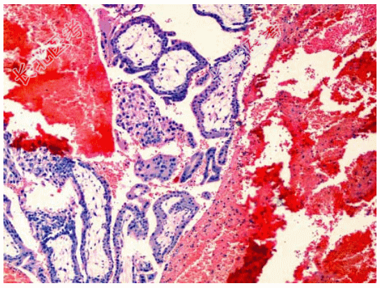
- [材料题] 患者女性,36岁,停经50余天,腹痛一天,后穹窿穿刺少量新鲜血,术中见右输卵管壶腹部膨大并有活动性出血。切除右输卵管,显微镜下所见如图。临床诊断为输卵管妊娠。

- 简答题1、该疾病的病因为?
关注下方微信公众号,搜题查看答案

- 简答题2、该疾病肉眼改变表现为?
关注下方微信公众号,搜题查看答案

- 简答题3、该疾病镜下改变表现为?
关注下方微信公众号,搜题查看答案

- 简答题4、该疾病的并发症包括?
关注下方微信公众号,搜题查看答案

热门试题
- 1、该疾病镜下改变表现为?2、该疾病免疫
- 1、该疾病镜下改变表现为?2、该疾病免疫
- 1、该疾病的肉眼改变表现为?2、该疾病的
- 1、其病理诊断为?2、该疾病好发于?3、
- 1、首先考虑的诊断是?2、该肿瘤的染色体
- 1、该疾病的病理分型包括?2、该肿瘤向周
- 1、该病的病理改变表现为?2、该病的镜下
- 1、该疾病的镜下改变表现为?2、该疾病免
- 1、该疾病的临床特点为?2、该疾病有哪些
- 1、最可能的诊断是?2、该疾病的免疫组化
- 1、该患者最可能的病因是?2、该疾病的病
- 1、该疾病多发于?2、该疾病的并发症有哪
- 1、该疾病的病因为?2、该疾病肉眼改变表
- 1、最可能的疾病是?2、该疾病的病因是?
- 1、患者的疾病诊断最可能是?2、该疾病主
- 1、早期发现前列腺癌的最佳方法是?2、该
- 1、该疾病病理特点表现为?2、该疾病的免
- 1、该疾病常见于?2、该疾病肉眼改变表现
- 1、可诊断为?2、该疾病肉眼主要表现为?
- 1、传统上我国学者一般将食管鳞状细胞癌分