试题详情
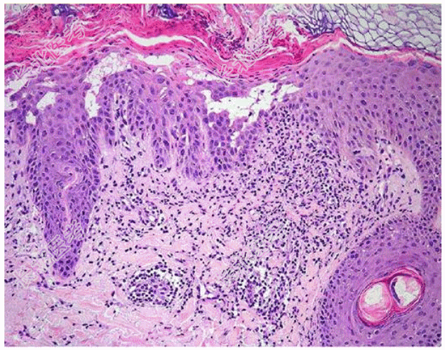
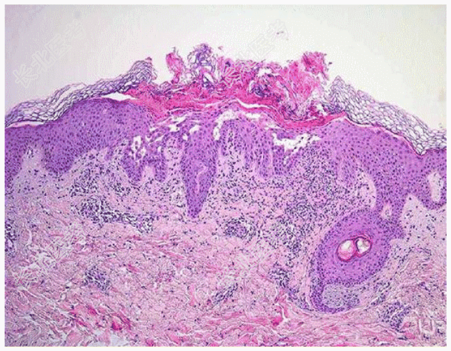
- [材料题] 患儿男,5岁,因“面部、胸部及躯干见对称性小丘疹”来诊。查体:面部、胸部及躯干见对称性密集的角化性小丘疹,粟粒大,皮色,坚实,表面被覆油腻性痂,去痂后可见丘疹顶端漏斗状凹陷。提示:光镜下组织形态如图所示。病理诊断为毛囊角化病。

- 简答题1、该疾病类型属于?
关注下方微信公众号,搜题查看答案

- 简答题2、该疾病多发于?
关注下方微信公众号,搜题查看答案

热门试题
- 1、该疾病病因包括?2、该疾病肉眼改变表
- 1、该疾病的病因包括?2、该疾病侵及脑膜
- 1、正确的诊断是?2、可能在本病中查出的
- 1、纤支镜取活检镜下如图所示,该患者正确
- 1、该疾病的免疫组化表现为?2、该疾病分
- 1、该疾病有哪些特点?2、该疾病有哪些大
- 1、该疾病病理特点表现为?2、该疾病的免
- 1、具有上述病理特征的疾病是?2、该疾病
- 1、镜检如图所示黏膜内大量炎细胞浸润,以
- 1、该患者可能诊断为?2、该病例的疾病类
- 1、患者肝组织活检的镜下观如下图所示,肝
- 1、该疾病的病因包括?2、该疾病的肉眼改
- 1、该疾病免疫组化表达?2、该疾病需与哪
- 1、于肿瘤处及其与周围交界处多点和多切面
- 1、该疾病镜下改变表现为?2、该疾病免疫
- 1、该患者最可能的诊断是什么?2、该疾病
- 1、此病理通道是?2、该疾病的病理改变是
- 1、套细胞淋巴瘤的分子遗传学特点性改变是
- 1、该疾病组织学分级标准为?2、该疾病免
- 1、最可能的诊断是?2、该疾病的免疫组化