试题详情
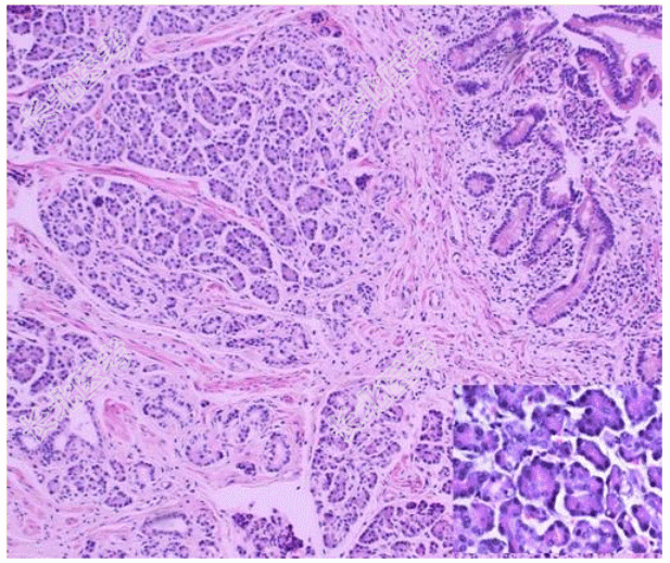
- [材料题] 患者女,35岁,十二指肠乳头下方3 cm处发现一个直径约1.5 cm肿块,呈息肉状生长。切面见肿块淡黄色,位于黏膜下,与周围界限欠清;表面黏膜大多光滑,中央可见浅溃疡形成。光镜下组织形态如图所示。病理诊断为胰腺异位。

- 简答题1、该疾病多发于?
关注下方微信公众号,搜题查看答案

- 简答题2、该疾病的并发症有哪些?
关注下方微信公众号,搜题查看答案

热门试题
- 1、该疾病镜下改变表现为?2、该疾病特殊
- 1、该疾病镜下改变表现为?2、该疾病免疫
- 1、该疾病免疫表型表达?2、该疾病预后如
- 1、最有可能的诊断是?2、该疾病的病因为
- 1、神经鞘瘤主要发生于?2、该疾病影像学
- 1、该患者的病理诊断为?2、该疾病预后如
- 1、该疾病类型属于?2、该疾病多发于?
- 1、该疾病的病因包括?2、该疾病肉眼改变
- 1、该疾病肉眼改变表现为?2、该疾病免疫
- 1、该疾病的病理改变为?2、该疾病的典型
- 1、该疾病多发于?2、该疾病的并发症有哪
- 1、诊断考虑为?2、该病的发病机制是?3
- 1、根据上述,可能的诊断是?2、该患者既
- 1、患者的疾病诊断最可能是?2、该疾病主
- 1、最应该考虑的诊断是?2、该疾病按化生
- 1、应首先考虑的是?2、该疾病需与哪些疾
- 1、此患者最可能的诊断是?2、该疾病的病
- 1、该患者可能诊断为?2、该病例的疾病类
- 1、该疾病的病因有?2、该疾病可有哪些肉
- 1、肝细胞癌的肉眼改变表现为?2、根据细