试题详情
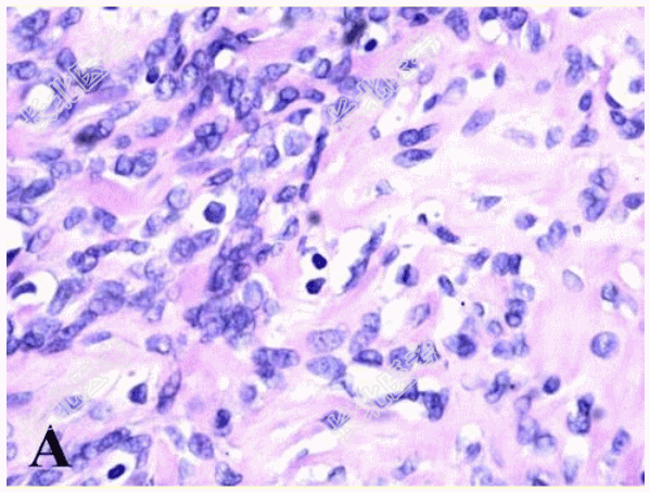
- [材料题] 患者男,40岁,因“呼吸困难、胸痛”来诊。患者从事采矿工作20余年。CT:左侧壁层胸膜5.0cm×4.8cm肿物,累及脏层胸膜和肺组织。术中见肿物单发,直径约5cm,实性,灰白,与脏层胸膜粘连。镜下:肿瘤细胞呈成纤维细胞样,大部分异型性不明显,细胞稀少区和细胞丰富区之间有粗的玻璃样变胶原和分支状血管分隔,如图所示。

- 简答题1、最可能的诊断是?
关注下方微信公众号,搜题查看答案

- 简答题2、该疾病的免疫组织化学染色一般表达?
关注下方微信公众号,搜题查看答案

- 简答题3、该疾病好发于?
关注下方微信公众号,搜题查看答案

热门试题
- 1、最可能的诊断是?2、该疾病的临床特征
- 1、该患者的病理诊断为?2、该疾病预后如
- 1、该疾病的病因和发病机制是?2、该疾病
- 1、该患者应诊断为?2、该疾病多发于?3
- 1、该疾病好发于?2、该疾病病理学改变表
- 1、该疾病可发生于?2、该疾病可有哪些肉
- 1、纤支镜取活检镜下如图所示,该患者正确
- 1、该疾病类型属于?2、该疾病多发于?
- 1、该疾病的免疫组化表现为?2、该疾病分
- 1、该疾病多见于?2、该疾病肉眼改变表现
- 1、患者肝组织活检的镜下观如下图所示,肝
- 1、最可能的疾病是?2、该疾病的肉眼改变
- 1、此肿瘤应诊断为?2、该疾病免疫组化表
- 1、促结缔组织增生性小圆细胞肿瘤的临床特
- 1、传统上我国学者一般将食管鳞状细胞癌分
- 1、神经鞘瘤主要发生于?2、该疾病影像学
- 1、胆石症的病因和临床特点表现为?2、胆
- 1、该疾病镜下改变表现为?2、该疾病免疫
- 1、该疾病的肉眼改变表现为?2、该疾病的
- 1、该患者最可能的病因是?2、该疾病的病