试题详情
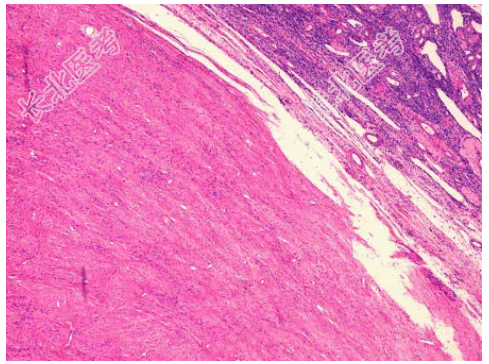
- [材料题] 患者女性,45岁,一年,腹水3月加重1月,妇检扪及左侧附件包块,质硬,行左卵巢切除送检。见卵巢一结节。直径3cm,切面灰白,略呈漩涡状。镜下见大量波浪状的胶原性结缔组织,小的梭形细胞排列成紧密的漩涡“席纹状”(如图),临床诊断为卵巢纤维瘤。

- 简答题1、该疾病镜下改变表现为?
关注下方微信公众号,搜题查看答案

- 简答题2、该疾病免疫组化表达?
关注下方微信公众号,搜题查看答案

- 简答题3、该疾病需与哪些疾病进行鉴别诊断?
关注下方微信公众号,搜题查看答案

热门试题
- 1、急性排斥反应诊断的经典三联征为?2、
- 1、该疾病考虑诊断为?2、该疾病镜下改变
- 1、最有可能的诊断是?2、该疾病好发于?
- 1、肝硬化主要病因是?2、根据大体形态学
- 1、遗传性结直肠癌典型代表主要有哪几类?
- 1、最有可能的诊断是?2、该疾病的病因为
- 1、该疾病好发于哪个年龄段?2、该疾病好
- 1、该疾病多发于?2、该疾病免疫组化表达
- 1、最可能的诊断为?2、该肿瘤的性质为?
- 1、该疾病的病因有?2、该疾病可有哪些肉
- 1、应诊断为?2、该疾病的病因包括?3、
- 1、该疾病肉眼改变表现为?2、该疾病镜下
- 1、该疾病病理特点表现为?2、该疾病的免
- 1、该疾病光镜检查表现为?2、该疾病电镜
- 1、最可能的诊断是?2、该疾病需与哪些疾
- 1、该疾病常见的转移部位包括?2、该疾病
- 1、该疾病的镜下改变表现为?2、该疾病免
- 1、该疾病诊断时要注意哪几点?2、该疾病
- 1、本病多见于?2、该疾病肉眼改变表现为
- 1、该疾病的病因有?2、该疾病的肉眼改变