- [材料题]
1.病史采集 患儿,男,9岁,因"发现心跳快10个月"入院。患儿于10月前体育活动后突然出现心跳快,心悸,伴有胸闷,面色偏白,出冷汗,当时意识清,无头痛呕吐,无发热,无胸痛,无呼吸困难,休息数分钟后好转,故当时未进行任何诊治。最近3个月内又出现两次类似发作,伴有心悸、面色苍白,其中一次发作时在外院心电图检查报告提示室上性心动过速,心超检查正常,当时予以盐酸普罗帕酮(心律平)(具体用量不详)静脉推注后终止,未做进一步处理。近日来我院就诊,心电图示"窦性心动过速",食管心房调搏提示"房室折返性心动过速(顺传型)-左侧旁路可能",门诊以"室上性心动过速"收治入院。病程中患儿精神可,反应可,胃纳可,二便正常。 患儿为G
P
,足月剖宫产。BW3200g。否认围产期窒息缺氧病史。否认家族心脏病或其他遗传病史。按时接种疫苗,否认药物过敏史。2.体格检查 T37℃,P90次/min,R23次/min,Ht140cm,Wt28kg,BP98mmHg/66mmHg。神清,呼吸平稳,反应可。双肺呼吸音清晰,未闻及明显啰音。心音有力,HR90次/min,律齐,心音可,未闻及心脏杂音。腹软,肝、脾肋下未触及,无压痛及反跳痛。四肢肌力、肌张力正常。双下肢无水肿。3.实验室检查 (1)心电图检查:室上性心动过速,ST-T变化(见图69-1)。
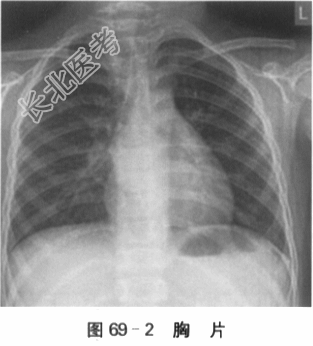
(2)X线胸片检查:胸廓对称,两肺纹增多,两肺未见明显渗出影。两侧肺门影不大,心影稍饱满,CTR约为56%,纵隔无明显增大。两隔面光整,肋膈角锐利。如图69-2所示。
(3)超声心动图检查:心脏位置及连接正常。各房室内径正常,室间隔完整,房间隔卵圆孔回声细淡,各组房室瓣开放活动可,三尖瓣轻度返流,二尖瓣轻微反流,组织多普勒测房室瓣口流速E/A>1,(左心室)射血分数(EF)63%,收缩期分级缩短(FS)35%。4.治疗经过:患儿入院后完善各项检查,心肌酶谱、血电解质及甲状腺激素均正常,行经心房食管调搏提示:房室折返性心动过速(顺传型)左侧旁道可能,数天后在麻醉下行心脏电生理检查+射频消融术,术后反复电生理检查均未诱发出室上性心动过速,认为临床治愈。
- 简答题1、
该患者的诊断与诊断依据是什么?
关注下方微信公众号,搜题查看答案

- 简答题2、
该患者的处理方案及理由是什么?
关注下方微信公众号,搜题查看答案

- 1、该患儿的初步诊断和诊断依据是什么?
- 1、该患者的诊断与诊断依据是什么? 2
- 1、针对现有症状及体征,应该进行的处理和
- 1、有助于诊断的检查有? 2、应采取的
- 1、根据上述表现该患儿目前诊断考虑 2
- 1、该患者的诊断是什么? 2、诊断依据
- 1、该患者的诊断与诊断依据是什么? 2
- 1、可能的诊断包括 2、为明确诊断应检
- 1、该患者的诊断及诊断依据为? 2、应
- 1、患者入院后应常规检查 2、乙型肝炎
- 1、该患者的诊断是什么? 2、该患者的
- 1、该患儿初步的诊断可能是? 2、
- 1、诊断首先考虑 2、经肝细胞酶检测发
- 1、该患儿初步诊断为? 2、诊断依据是
- 1、为明确诊断应紧急检查的项目包括 2
- 1、该患者的诊断和诊断依据是什么? 2
- 1、应考虑的疾病有 2、患儿应宜做的检
- 1、该患者的诊断为? 2、还需要与哪些
- 1、本例患儿首先考虑何种疾病?诊断依据?
- 1、诊断考虑的疾病有 2、为明确诊断应