试题详情
- [材料题]
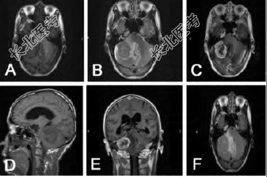
患者,男,68岁,因头晕头痛伴行走不稳1个月入院。既往2年前曾行胰腺肿瘤切除术,术后病理检查示低分化胰头腺癌,术后病情稳定,按期入院接受随访,同时给予“卡培他滨+吉西他滨”化疗,未见明显异常。入院时体格检查:神志清楚,GCS评分15分;双侧瞳孔等大、等圆,直径约2.5 mm,对光反射灵敏;颈软,无抵抗;听力正常;四肢肌力5级,肌张力正常;指鼻试验阳性,轮替试验阳性,跟膝胫试验阳性,双下肢病理征未引出。外院颅脑CT示右侧桥小脑角区边界清晰类圆形肿块,等稍高密度,周围可见不规则水肿带环绕。入院后颅脑MRI平扫及增强显示右侧桥小脑角区团片状病灶,信号欠均匀,呈等T1、稍长T2混杂信号;T2 Flair呈混杂等高信号,内可见片状地信号灶,病灶可见分叶,边界清晰,呈宽底与邻近脑膜关系密切;增强后可见周围脑膜明显强化,最大层面约4.2 cm×3.6 cm×2.7 cm,可见明显脑膜尾征。术中见肿瘤组织呈灰色,无明显包膜,质地较脆,与天幕轻度粘连,基本切除病灶。术后病理检查考虑转移瘤。

- 简答题1、
该病的病理特点是什么?
关注下方微信公众号,搜题查看答案

- 简答题2、
该病的治疗方案是什么?
关注下方微信公众号,搜题查看答案

- 简答题3、
该病的鉴别诊断有哪些?
关注下方微信公众号,搜题查看答案

- 简答题4、
治疗后如何进行随访及预后评估?
关注下方微信公众号,搜题查看答案

热门试题
- 1、目前患者癫痫发作形式主要是什么?
- 1、目前考虑的诊断是什么? 2、什么是
- 1、其病变性质最可能是? 2、需要进一
- 1、根据患者入院时的临床特征诊断为?
- 1、弥漫性大B细胞淋巴瘤的病理特点有哪些
- 1、目前考虑的诊断是什么?需要与哪些疾病
- 1、初步诊断及诊断依据是什么? 2、治
- 1、患者初步诊断为? 2、确诊需进一步
- 1、初步诊断及诊断依据是什么? 2、需
- 1、对于该患者,合理的治疗方式有? 2
- 1、患者初步诊断为? 2、确诊需进一步
- 1、患者诊断及诊断依据为? 2、需要鉴
- 1、患者初步诊断为? 2、确诊需进一步
- 1、舌咽神经痛的特点和可能的原因? 2
- 1、该患者可能的诊断是什么疾病? 2、
- 1、患者诊断及诊断依据为? 2、确诊需
- 1、该患者的诊断为? 2、诊断依据为?
- 1、初步诊断及诊断依据为? 2、患者有
- 1、该患者肺癌脑转移的诊断依据是什么?
- 1、该病的病理特点是什么? 2、该病的